Group Pavel Kovarik

Signaling and gene expression in inflammation

On this page

The Question

Our research aims at understanding of how immune homeostasis is maintained and how a robust but not exaggerated immune response is accomplished. Defense against infectious agents and damaging cues requires efficient activation of inflammatory response and timely re-establishment of immune homeostasis once the hostile microbial or sterile cues have been eliminated. Unproductive responses result in infectious disease whereas failures in homeostatic processes cause tissue damage and prevent healing. Thus, inflammatory response needs to be strong but quantitatively and timely restricted. Although many of the inflammation-promoting and –controlling processes are known, the basic question of how these processes are coordinated in the context of balanced tissue-protective immune responses remains poorly understood. We study the molecular wiring of robust yet controlled inflammation at the level of transcription, mRNA decay and signaling.

The Approach

Not Too Little, Not Too Much, Just Right: We investigate immune homeostasis and balanced immune responses in 3 areas:

1) mRNA decay in maintenance of immune homeostasis. mRNA decay is fundamental for immune homeostasis and control of inflammation. We employ genome-wide approaches, systems biology and animal models to reveal mechanisms defining the timely and selective removal of inflammation-associated mRNAs.

2) Mediator kinases in transcriptional responses to cytokines. We investigate how Mediator kinases - enigmatic positive and negative general transcription regulators – tune responses to cytokines. Approach: biochemistry, proteomics and genome-wide assays (GRO-Seq, PRO-Seq, ChIP-Seq etc.).

3) Cytokine signaling in resistance and resilience to infections. Using animal models of infection combined with metabolomics, transcriptomics and cell biology we investigate the key question of how cytokines regulate both elimination of pathogens (resistance) and tissue protection (resilience).

Shotaro Otsuka

Pavel Kovarik studied molecular biology and biochemistry at universities in Brno and Vienna. He received his PhD in biochemistry from the University of Vienna in 1995. In 2003 he became associate professor at Max F. Perutz Laboratories, University of Vienna, where he was promoted to full Professor of Immunobiology in 2012. He has coordinated several national and European research projects.

Download CV

   +43 1 4277 61665

Spotlights

IL-1α and IL-1β: Why two is better than one

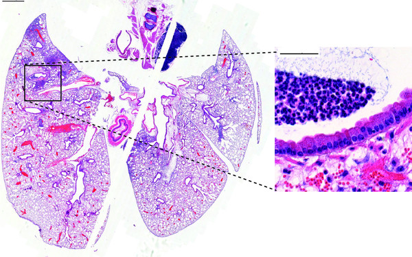
IL-1α and IL-1β are pro-inflammatory cytokines that use the same receptor and elicit same cellular responses. Why are then both maintained in mammalian genomes? We were able to define essential and non-redundant functions of IL-1α and IL-1β in protection against bacterial infections: IL-1α drives pathways preventing tissue damage, hence tolerance, while IL-1β is essential for pathogen clearance, thus resistance. See our publication Eislmayr et al, Science Advances 2022.

Mediator kinases CDK8 & CDK19: Twin enzymes with non-twin roles in transcription regulation

The Mediator kinase is an enigmatic transcription regulator. Our recent study showed that the Mediator kinase controls Pol II pause release (Steinparzer et al, Molecular Cell 2019). Moreover, the Mediator kinases CDK8 and CDK19 (originally thought to be functionally redundant) fulfil mechanistically distinct functions and activate different gene sets in the interferon-induced anti-viral response.

mRNA decay sets the clock for neutrophil apoptosis

The lifespan of neutrophils co-determines the duration of immune responses. We showed that TTP-driven mRNA decay is a selective promoter of apoptosis of pathogen-engaged neutrophils: TTP subdues anti-apoptotic (Ebner et al., J Clin Invest 2017). Intriguingly, TTP deletion augments neutrophil response and blunts bacterial infection.

Natural killer cells keep bacterial growth in check

Klebsiella is a significant bacterial pathogen owing to its frequent antibiotic resistance. We discovered an efficient defense mechanism against Klebsiella: it is driven by a feed-forward communication loop between natural killer cells and macrophages that culminates in macrophages-driven antibacterial program (Ivin et al., Plos Pathogens 2017).

TTP atlas: a functionally annotated map of TTP binding sites in the macrophage transcriptome

The mRNA-destabilizing protein TTP is a key factor in elimination of cytokine mRNAs. By using PAR-iCLIP and mRNA stability assays we established the TTP Atlas, a nucleotide resolution map of functionally annotated TTP binding sites in the macrophage transcriptome (Sedlyarov et al., Mol Syst Biol 2016).

Not too little, not too much, just right: Defense against bacterial pathogens

Our study on infection with Streptococcus pyogenes revealed that type I interferon signaling is essential for preventing lethal hyperinflammation – it ensures that the production of the essential pro-inflammatory cytokine IL-1ß reaches protective not destructive levels (Castiglia et al., Cell Host & Microbe 2016).

    Team

    Helena Bragulat Teixidor
    PhD Student
       +43 1 4277 61668
    Room: 3.505

    Pallavi Deolal
    PostDoc
       +43 1 4277 61668
    Room: 0.612

    Layla El Mossadeq
    PostDoc
       +43 1 4277 61668
    Room: 3.505

    Nina Klauss
    Lab Manager
       +43 1 4277 61668
    Room: 3.505

    Shotaro Otsuka
    Group Leader
       +43 1 4277 61665
    Room: 3.506

    Kaike Ren
    PhD Student
       +43 1 4277 61668
    Room: 3.505

    Julia Scholz
    PhD Student
       +43 1 4277 61668
    Room: 3.505

    Clara-Anna Wagner
    PhD Student
       +43 1 4277 61668
    Room: 3.505

    Collaborations & Funding

    SFB RNA-regulation of the transcriptome

    The Group Kovarik participates in the special research program “RNA-regulation of the transcriptome” funded by the Austrian Research Fund FWF.

    Marie Curie ITN INBIONET

    The lab participates in the EU FP7-funded Marie Curie Initial Training Network INBIONET

    Research platform Decoding mRNA decay in inflammation

    Pavel Kovarik coordinates the University of Vienna-funded research platform “Decoding mRNA decay in inflammation

    Infect-ERA "HAPLOINFECT"

    The Kovarik lab participates in the transnational Infect-ERA project HAPLOINFECT funded by FWF and EU FP7.

    National Scientific Research Fund (FWF) Stand Alone Grant

    Title: “Function of CDK8 in STAT1-Regulated Transcription and Cytokine Responses”

    19
    Thu
    20
    Feb 2025
    VBC Regular Seminar

    Defining the autism cell phenotypic landscape

      11:00
      IMBA/GMI Lecture Hall
      Dea Slade
      Gaia Novarino

    Date: 2025-02-20, Time: 11:00:00, Speaker: Gaia Novarino, Location: IMBA/GMI Lecture Hall, Type: VBC Regular Seminar, Institute: ISTA, Host: Dea Slade

    Mon
    24
    Feb 2025
    Monday Seminar

    Monday Seminar (Internal)

      12:30
      IMP Lecture Hall
      None
      BAYERL Jonas (Zuber), ZABOLOCKI Michael (Knoblich), EDER Stephanie (Zimmer)

    Date: 2025-02-24, Time: 12:30:00, Speaker: BAYERL Jonas (Zuber)ZABOLOCKI Michael (Knoblich)EDER Stephanie (Zimmer), Location: IMP Lecture Hall, Type: Monday Seminar, Institute: Open only to IMP/IMBA/GMI/Max Perutz Labs, Host: None

    Thu
    27
    Feb 2025
    VBC Regular Seminar

    Transposable Elements: from parasites to symbionts

      11:00
      IMBA/GMI Lecture Hall
      Joanna Jachowicz
      Cedric Feschotte

    Date: 2025-02-27, Time: 11:00:00, Speaker: Cedric Feschotte, Location: IMBA/GMI Lecture Hall, Type: VBC Regular Seminar, Institute: Cornell University, Host: Joanna Jachowicz

    Mon
    03
    Mar 2025
    Monday Seminar

    Monday Seminar (Internal)

      12:30
      IMP Lecture Hall
      None
      KROETENHEERDT Eva (Leonard), RÖHSNER Josef (Pauli), RIABOV Daria (Plaschka)

    Date: 2025-03-03, Time: 12:30:00, Speaker: KROETENHEERDT Eva (Leonard)RÖHSNER Josef (Pauli)RIABOV Daria (Plaschka), Location: IMP Lecture Hall, Type: Monday Seminar, Institute: Open only to IMP/IMBA/GMI/Max Perutz Labs, Host: None

    Thu
    06
    Mar 2025
    Impromptu Seminar

    Title to be announced

      11:00
      IMBA/GMI Lecture Hall
      Joanna Jachowicz
      Zach Smith

    Date: 2025-03-06, Time: 11:00:00, Speaker: Zach Smith, Location: IMBA/GMI Lecture Hall, Type: Impromptu Seminar, Institute: MIT, Host: Joanna Jachowicz

    Mon
    10
    Mar 2025
    Monday Seminar

    Monday Seminar (Internal)

      12:30
      IMP Lecture Hall
      None
      CHO Chung Hyun (Berger), SEIDL Carina (Tanaka), MIGOTTI Mario (Konrat)

    Date: 2025-03-10, Time: 12:30:00, Speaker: CHO Chung Hyun (Berger)SEIDL Carina (Tanaka)MIGOTTI Mario (Konrat), Location: IMP Lecture Hall, Type: Monday Seminar, Institute: Open only to IMP/IMBA/GMI/Max Perutz Labs, Host: None

    Mon
    10
    Mar 2025
    Max Perutz Labs Impromptu Seminar

    Form follows function - Correlative volumeEM studies of organelles

      11:00
      IMBA/GMI Lecture Hall
      Shotaro Otsuka
      Eija Jokitalo

    Date: 2025-03-10, Time: 11:00:00, Speaker: Eija Jokitalo, Location: IMBA/GMI Lecture Hall, Type: Max Perutz Labs Impromptu Seminar , Institute: University of Helsinki, Host: Shotaro Otsuka

    Tue
    11
    Mar 2025
    Impromptu Seminar

    Cis-regulatory strategies integrating spatial and temporal tissue patterning

      11:00
      IMBA/GMI Lecture Hall
      Diana Pinheiro, Alex Stark
      Joaquina Delas

    Date: 2025-03-11, Time: 11:00:00, Speaker: Joaquina Delas, Location: IMBA/GMI Lecture Hall, Type: Impromptu Seminar, Institute: University College London, Host: Diana Pinheiro, Alex Stark

    Wed
    12
    Mar 2025
    Symposium

    SY-Stem

      Mar 12 - Mar 14
      IMP Lecture Hall
      None

    Date: 2025-03-12, Time: 09:00:00, Speaker: , Location: IMP Lecture Hall, Type: Symposium, Institute: None, Host: None

    Mon
    17
    Mar 2025
    Monday Seminar

    Monday Seminar (Internal)

      12:30
      IMP Lecture Hall
      None
      CHEN Shenzhi (Stark), BINDL Michael (Leeb), JÄGER Martin (Obenauf)

    Date: 2025-03-17, Time: 12:30:00, Speaker: CHEN Shenzhi (Stark)BINDL Michael (Leeb)JÄGER Martin (Obenauf), Location: IMP Lecture Hall, Type: Monday Seminar, Institute: Open only to IMP/IMBA/GMI/Max Perutz Labs, Host: None

    Wed
    19
    Mar 2025
    Impromptu Seminar

    Unravelling the inner secrets of cells with live-cell super-resolution microscopy

      10:00
      Lecture Hall A, VBC 5
      Jonas Ries
      Francesca Bottanelli

    Date: 2025-03-19, Time: 10:00:00, Speaker: Francesca Bottanelli, Location: Lecture Hall A, VBC 5, Type: Impromptu Seminar, Institute: Freie Universität Berlin, Host: Jonas Ries

    Thu
    20
    Mar 2025
    VBC Regular Seminar

    Title to be announced

      11:00
      IMBA/GMI Lecture Hall
      Joao Matos
      Geert Kops

    Date: 2025-03-20, Time: 11:00:00, Speaker: Geert Kops, Location: IMBA/GMI Lecture Hall, Type: VBC Regular Seminar, Institute: Hubrecht Institute, Host: Joao Matos

    Fri
    21
    Mar 2025
    Impromptu Seminar

    Title to be announced

      10:00
      IMBA/GMI Lecture Hall
      Diana Pinheiro
      Colinda Scheele

    Date: 2025-03-21, Time: 10:00:00, Speaker: Colinda Scheele, Location: IMBA/GMI Lecture Hall, Type: Impromptu Seminar, Institute: VIB-UGent, Host: Diana Pinheiro

    Mon
    24
    Mar 2025
    Monday Seminar

    Monday Seminar (Internal)

      12:30
      IMP Lecture Hall
      None
      MAYA Juan (Balzarotti), DOSA Anna (Clausen), KOBER Julia (Ramundo)

    Date: 2025-03-24, Time: 12:30:00, Speaker: MAYA Juan (Balzarotti)DOSA Anna (Clausen)KOBER Julia (Ramundo), Location: IMP Lecture Hall, Type: Monday Seminar, Institute: Open only to IMP/IMBA/GMI/Max Perutz Labs, Host: None

    Thu
    27
    Mar 2025
    VBC Regular Seminar

    How human immunodeficiency virus enters the nucleus

      11:00
      IMBA/GMI Lecture Hall
      Alwin Köhler
      Martin Beck

    Date: 2025-03-27, Time: 11:00:00, Speaker: Martin Beck, Location: IMBA/GMI Lecture Hall, Type: VBC Regular Seminar, Institute: Max Planck Institute for Biophysics, Host: Alwin Köhler

    Mon
    31
    Mar 2025
    Monday Seminar

    Monday Seminar (Internal)

      12:30
      IMP Lecture Hall
      None
      HOLZER Elisabeth (Martens), THEMANN Jan (Knoblich), SCARAMUZZA Federico (Tessmar)

    Date: 2025-03-31, Time: 12:30:00, Speaker: HOLZER Elisabeth (Martens)THEMANN Jan (Knoblich)SCARAMUZZA Federico (Tessmar), Location: IMP Lecture Hall, Type: Monday Seminar, Institute: Open only to IMP/IMBA/GMI/Max Perutz Labs, Host: None

    Thu
    03
    Apr 2025
    VBC Regular Seminar

    Title to be announced

      11:00
      IMBA/GMI Lecture Hall
      Sebastian Falk
      Rotem Sorek

    Date: 2025-04-03, Time: 11:00:00, Speaker: Rotem Sorek, Location: IMBA/GMI Lecture Hall, Type: VBC Regular Seminar, Institute: Weizmann Institute, Host: Sebastian Falk

    Mon
    07
    Apr 2025
    Monday Seminar

    Monday Seminar (Internal)

      12:30
      IMP Lecture Hall
      None
      CHAO Victor (Huis), KHANDEKAR Ameya (Ellis), KROGULL Daniel (Burga)

    Date: 2025-04-07, Time: 12:30:00, Speaker: CHAO Victor (Huis)KHANDEKAR Ameya (Ellis)KROGULL Daniel (Burga), Location: IMP Lecture Hall, Type: Monday Seminar, Institute: Open only to IMP/IMBA/GMI/Max Perutz Labs, Host: None

    Thu
    10
    Apr 2025
    Symposium

    "Tiles of Life" Symposium

      Apr 10 - Apr 11
      IMP Lecture Hall
      SMICH community

    Date: 2025-04-10, Time: 09:00:00, Speaker: , Location: IMP Lecture Hall , Type: Symposium, Institute: None, Host: SMICH community

    Thu
    10
    Apr 2025
    Symposium

    Tiles of Life - Student Symposium

      Apr 10 - Apr 11
      IMP lecture hall, Vienna BioCenter

    The symposium will explore the intricate "tiles" that form the vast and diverse fields of molecular biology and aims to foster discussions and inspire collaborations by bringing the “tiles of life” together. The program includes several talks by esteemed and international speakers sharing their latest findings to link the molecular mosaic of the cell - from structures to organisms. Additionally, we will highlight the research of the SMICH community on campus by complementing the program with student talks.

    Mon
    14
    Apr 2025
    Monday Seminar

    Monday Seminar (Internal)

      12:30
      IMP Lecture Hall
      None
      OKUN Anastasia (Karagöz), COLLISON Robert (Ramundo), WELZL Paul (Balzarotti/Plaschka)

    Date: 2025-04-14, Time: 12:30:00, Speaker: OKUN Anastasia (Karagöz)COLLISON Robert (Ramundo)WELZL Paul (Balzarotti/Plaschka), Location: IMP Lecture Hall, Type: Monday Seminar, Institute: Open only to IMP/IMBA/GMI/Max Perutz Labs, Host: None

    Thu
    24
    Apr 2025
    VBC Regular Seminar

    Title to be announced

      11:00
      IMBA/GMI Lecture Hall
      Anton Goloborodko
      Maria Cristina Gambetta

    Date: 2025-04-24, Time: 11:00:00, Speaker: Maria Cristina Gambetta, Location: IMBA/GMI Lecture Hall, Type: VBC Regular Seminar, Institute: University of Lausanne, Host: Anton Goloborodko

    Fri
    25
    Apr 2025
    IMP Impromptu Seminar

    Title to be announced

      10:30
      IMP Seminar Room 1.014/16
      Diana Pinheiro
      Takshi Hiragi

    Date: 2025-04-25, Time: 10:30:00, Speaker: Takshi Hiragi, Location: IMP Seminar Room 1.014/16, Type: IMP Impromptu Seminar, Institute: Hubrecht Institute, Host: Diana Pinheiro

    Mon
    28
    Apr 2025
    Monday Seminar

    Monday Seminar (Internal)

      12:30
      IMP Lecture Hall
      None
      SUWITA Johannes (Pauli), GRABARCZYK Daniel (Clausen), PANDA Aswini (Falk)

    Date: 2025-04-28, Time: 12:30:00, Speaker: SUWITA Johannes (Pauli)GRABARCZYK Daniel (Clausen)PANDA Aswini (Falk), Location: IMP Lecture Hall, Type: Monday Seminar, Institute: Open only to IMP/IMBA/GMI/Max Perutz Labs, Host: None

    Mon
    05
    May 2025
    Monday Seminar

    Monday Seminar (Internal)

      12:30
      IMP Lecture Hall
      None
      KIM Olena (Knoblich), JOB Nikhil (Dolan), ADELMANN Leonie (Raible)

    Date: 2025-05-05, Time: 12:30:00, Speaker: KIM Olena (Knoblich)JOB Nikhil (Dolan)ADELMANN Leonie (Raible), Location: IMP Lecture Hall, Type: Monday Seminar, Institute: Open only to IMP/IMBA/GMI/Max Perutz Labs, Host: None

    Wed
    07
    May 2025
    Symposium

    Microsymposium on RNA Biology'

      May 07 - May 09
      IMP Lecture Hall
      None

    Date: 2025-05-07, Time: 09:00:00, Speaker: , Location: IMP Lecture Hall, Type: Symposium, Institute: None, Host: None

    Sun
    11
    May 2025
    Symposium

    EMBO meeting on RNA meets Protein decay

      May 11 - May 14
      IMP Lecture Hall
      None

    Date: 2025-05-11, Time: 14:00:00, Speaker: , Location: IMP Lecture Hall, Type: Symposium, Institute: None, Host: None

    Mon
    12
    May 2025
    Monday Seminar

    Monday Seminar (Internal)

      12:30
      IMP Lecture Hall
      None
      SCIBISZ Grzegorz (Karagöz), VAN GENDEREN Emiel (Rivron), BOZKURT Miray (Tanaka)

    Date: 2025-05-12, Time: 12:30:00, Speaker: SCIBISZ Grzegorz (Karagöz)VAN GENDEREN Emiel (Rivron)BOZKURT Miray (Tanaka), Location: IMP Lecture Hall, Type: Monday Seminar, Institute: Open only to IMP/IMBA/GMI/Max Perutz Labs, Host: None

    Thu
    15
    May 2025
    VBC Regular Seminar

    Title to be announced

      11:00
      IMBA/GMI Lecture Hall
      Alex Stark
      Chuna Ram Choudhary

    Date: 2025-05-15, Time: 11:00:00, Speaker: Chuna Ram Choudhary, Location: IMBA/GMI Lecture Hall, Type: VBC Regular Seminar, Institute: University of Copenhagen, Host: Alex Stark

    Mon
    19
    May 2025
    Monday Seminar

    Monday Seminar (Internal)

      12:30
      IMP Lecture Hall
      None
      POTTENDORFER Elisabeth (Obenauf), WALLNER Eva-Sophie (Dolan), BECKER Moritz (Leeb)

    Date: 2025-05-19, Time: 12:30:00, Speaker: POTTENDORFER Elisabeth (Obenauf)WALLNER Eva-Sophie (Dolan)BECKER Moritz (Leeb), Location: IMP Lecture Hall, Type: Monday Seminar, Institute: Open only to IMP/IMBA/GMI/Max Perutz Labs, Host: None

    Thu
    22
    May 2025
    VBC Regular Seminar

    Title to be announced

      11:00
      IMBA/GMI Lecture Hall
      Elif Karagöz
      Manuel Leonetti

    Date: 2025-05-22, Time: 11:00:00, Speaker: Manuel Leonetti, Location: IMBA/GMI Lecture Hall, Type: VBC Regular Seminar, Institute: CZ Biohub San Francisco, Host: Elif Karagöz

    Mon
    26
    May 2025
    Monday Seminar

    Monday Seminar (Internal)

      12:30
      IMP Lecture Hall
      None
      DIMITROVA Polina (Van der Veeken), STRAVS Ana (Knoblich), SCHÖNLEIN Martin (Obenauf)

    Date: 2025-05-26, Time: 12:30:00, Speaker: DIMITROVA Polina (Van der Veeken)STRAVS Ana (Knoblich)SCHÖNLEIN Martin (Obenauf), Location: IMP Lecture Hall, Type: Monday Seminar, Institute: Open only to IMP/IMBA/GMI/Max Perutz Labs, Host: None

    Mon
    02
    Jun 2025
    Monday Seminar

    Monday Seminar (Internal)

      12:30
      IMP Lecture Hall
      None
      SABATH Kevin (Plaschka/Stark), MANCHENO JUNCOSA Estela (Mendjan), HORENKAMP Simone (Tanaka)

    Date: 2025-06-02, Time: 12:30:00, Speaker: SABATH Kevin (Plaschka/Stark)MANCHENO JUNCOSA Estela (Mendjan)HORENKAMP Simone (Tanaka), Location: IMP Lecture Hall, Type: Monday Seminar, Institute: Open only to IMP/IMBA/GMI/Max Perutz Labs, Host: None

    Thu
    12
    Jun 2025
    VBC Regular Seminar

    Title to be announced

      11:00
      IMBA/GMI Lecture Hall
      Julius Brennecke
      Stefan Mundlos

    Date: 2025-06-12, Time: 11:00:00, Speaker: Stefan Mundlos, Location: IMBA/GMI Lecture Hall, Type: VBC Regular Seminar, Institute: Max Planck Institute for Molecular Genetics, Host: Julius Brennecke

    Mon
    16
    Jun 2025
    Monday Seminar

    Monday Seminar (Internal)

      12:30
      IMP Lecture Hall
      None
      BERGER Sonja (Goloborodko), KOWALD Saskia (Gaidt), KAPRAL Thomas (Zagrovic)

    Date: 2025-06-16, Time: 12:30:00, Speaker: BERGER Sonja (Goloborodko)KOWALD Saskia (Gaidt)KAPRAL Thomas (Zagrovic), Location: IMP Lecture Hall, Type: Monday Seminar, Institute: Open only to IMP/IMBA/GMI/Max Perutz Labs, Host: None

    Wed
    18
    Jun 2025
    VBC Regular Seminar

    Title to be announced

      11:00
      IMBA/GMI Lecture Hall
      Joris Van der Veeken
      Nikhil Joshi

    Date: 2025-06-18, Time: 11:00:00, Speaker: Nikhil Joshi, Location: IMBA/GMI Lecture Hall, Type: VBC Regular Seminar, Institute: Yale University, Host: Joris Van der Veeken

    Mon
    23
    Jun 2025
    Monday Seminar

    Monday Seminar (Internal)

      12:30
      IMP Lecture Hall
      None
      BUCHERON Chloe (Menche), KRUMWIEDE Luisa (Gaidt), PACHANO Tomas (Stark)

    Date: 2025-06-23, Time: 12:30:00, Speaker: BUCHERON Chloe (Menche)KRUMWIEDE Luisa (Gaidt)PACHANO Tomas (Stark), Location: IMP Lecture Hall, Type: Monday Seminar, Institute: Open only to IMP/IMBA/GMI/Max Perutz Labs, Host: None

    Mon
    30
    Jun 2025
    Monday Seminar

    Monday Seminar (Internal)

      12:30
      IMP Lecture Hall
      None
      SCHINDLER Lukas (Schlögelhofer), MANDLBURGER Nikolaus (Stark), OTTO Magdalena (Leonard)

    Date: 2025-06-30, Time: 12:30:00, Speaker: SCHINDLER Lukas (Schlögelhofer)MANDLBURGER Nikolaus (Stark)OTTO Magdalena (Leonard), Location: IMP Lecture Hall, Type: Monday Seminar, Institute: Open only to IMP/IMBA/GMI/Max Perutz Labs, Host: None

    Thu
    03
    Jul 2025
    VBC Regular Seminar

    Title to be announced

      11:00
      IMBA/GMI Lecture Hall
      Marco Hein
      Matthias Mann

    Date: 2025-07-03, Time: 11:00:00, Speaker: Matthias Mann, Location: IMBA/GMI Lecture Hall, Type: VBC Regular Seminar, Institute: Max-Planck Institute of Biochemistry, Host: Marco Hein

    Mon
    07
    Jul 2025
    Monday Seminar

    Monday Seminar (Internal)

      12:30
      IMP Lecture Hall
      None
      TRUS Palina (Peters), KOBAKHIDZE George (Dong), KONGSTED Thea (Dolan)

    Date: 2025-07-07, Time: 12:30:00, Speaker: TRUS Palina (Peters)KOBAKHIDZE George (Dong)KONGSTED Thea (Dolan), Location: IMP Lecture Hall, Type: Monday Seminar, Institute: Open only to IMP/IMBA/GMI/Max Perutz Labs, Host: None

    Thu
    10
    Jul 2025
    VBC Regular Seminar

    Title to be announced

      11:00
      IMBA/GMI Lecture Hall
      Erinc Hallacli
      Simon Alberti

    Date: 2025-07-10, Time: 11:00:00, Speaker: Simon Alberti, Location: IMBA/GMI Lecture Hall, Type: VBC Regular Seminar, Institute: TU Dresden, Host: Erinc Hallacli

    Mon
    14
    Jul 2025
    Monday Seminar

    Monday Seminar (Internal)

      12:30
      IMP Lecture Hall
      None
      RUSCH Emma (Golobordko), VELIKOV Daniel (Matos), VOGEL Alexander (Clausen/Yudushkin)

    Date: 2025-07-14, Time: 12:30:00, Speaker: RUSCH Emma (Golobordko)VELIKOV Daniel (Matos)VOGEL Alexander (Clausen/Yudushkin), Location: IMP Lecture Hall, Type: Monday Seminar, Institute: Open only to IMP/IMBA/GMI/Max Perutz Labs, Host: None

    Mon
    21
    Jul 2025
    Monday Seminar

    Monday Seminar (Internal)

      12:30
      IMP Lecture Hall
      None
      ANGELOPOULOU Eleni (Ellis), SCHAFFER Petra (Grade), RAMIREZ America (Köhler)

    Date: 2025-07-21, Time: 12:30:00, Speaker: ANGELOPOULOU Eleni (Ellis)SCHAFFER Petra (Grade)RAMIREZ America (Köhler), Location: IMP Lecture Hall, Type: Monday Seminar, Institute: Open only to IMP/IMBA/GMI/Max Perutz Labs, Host: None

    Mon
    28
    Jul 2025
    Monday Seminar

    Monday Seminar (Internal)

      12:30
      IMP Lecture Hall
      None
      DIMITRIADI Anna (Mendjan), LEITNER Moritz (Martinez), BRADAMANTE Gabriele (Biooptics)

    Date: 2025-07-28, Time: 12:30:00, Speaker: DIMITRIADI Anna (Mendjan)LEITNER Moritz (Martinez)BRADAMANTE Gabriele (Biooptics), Location: IMP Lecture Hall, Type: Monday Seminar, Institute: Open only to IMP/IMBA/GMI/Max Perutz Labs, Host: None

    Mon
    04
    Aug 2025
    Monday Seminar

    Monday Seminar (Internal)

      12:30
      IMP Lecture Hall
      None
      LI Wenxin (Zimmer), FISCHER Felix (Zagrovic), ABESAMIS Kim Ivan (Dong)

    Date: 2025-08-04, Time: 12:30:00, Speaker: LI Wenxin (Zimmer)FISCHER Felix (Zagrovic)ABESAMIS Kim Ivan (Dong), Location: IMP Lecture Hall, Type: Monday Seminar, Institute: Open only to IMP/IMBA/GMI/Max Perutz Labs, Host: None

    Mon
    11
    Aug 2025
    Monday Seminar

    Monday Seminar (Internal)

      12:30
      IMP Lecture Hall
      None
      KLEIFELD Justus (Urban), JAHNEL Stefan (Mendjan), BHATTACHARYA Mrinnanda (Zimmer)

    Date: 2025-08-11, Time: 12:30:00, Speaker: KLEIFELD Justus (Urban)JAHNEL Stefan (Mendjan)BHATTACHARYA Mrinnanda (Zimmer), Location: IMP Lecture Hall, Type: Monday Seminar, Institute: Open only to IMP/IMBA/GMI/Max Perutz Labs, Host: None

    Mon
    18
    Aug 2025
    Monday Seminar

    Monday Seminar (Internal)

      12:30
      IMP Lecture Hall
      None
      BELL Lillie (Clausen), MIHAILOVIC Milica (Karagöz)

    Date: 2025-08-18, Time: 12:30:00, Speaker: BELL Lillie (Clausen)MIHAILOVIC Milica (Karagöz), Location: IMP Lecture Hall, Type: Monday Seminar, Institute: Open only to IMP/IMBA/GMI/Max Perutz Labs, Host: None

    Mon
    25
    Aug 2025
    Monday Seminar

    Monday Seminar (Internal)

      12:30
      IMP Lecture Hall
      None
      BOHL VIALLEFONT Gregoire (Nordborg), MARCHIORI Elisa (Van der Veeken), MCATEER Tara (Pinheiro)

    Date: 2025-08-25, Time: 12:30:00, Speaker: BOHL VIALLEFONT Gregoire (Nordborg)MARCHIORI Elisa (Van der Veeken)MCATEER Tara (Pinheiro), Location: IMP Lecture Hall, Type: Monday Seminar, Institute: Open only to IMP/IMBA/GMI/Max Perutz Labs, Host: None

    Mon
    01
    Sep 2025
    Monday Seminar

    Monday Seminar (Internal)

      12:30
      IMP Lecture Hall
      None
      KIRCHGATTERER Paul (Gaidt), ACHLEITNER Sonja (Martens), KAYA Oguzhan (Knoblich)

    Date: 2025-09-01, Time: 12:30:00, Speaker: KIRCHGATTERER Paul (Gaidt)ACHLEITNER Sonja (Martens)KAYA Oguzhan (Knoblich), Location: IMP Lecture Hall, Type: Monday Seminar, Institute: Open only to IMP/IMBA/GMI/Max Perutz Labs, Host: None

    Mon
    08
    Sep 2025
    Monday Seminar

    Monday Seminar (Internal)

      12:30
      IMP Lecture Hall
      None
      HUTH Michelle (Leeb), RADHAKRISHNA PILLAI Balashankar (Brennecke), REN Kaike (Otsuka)

    Date: 2025-09-08, Time: 12:30:00, Speaker: HUTH Michelle (Leeb)RADHAKRISHNA PILLAI Balashankar (Brennecke)REN Kaike (Otsuka), Location: IMP Lecture Hall, Type: Monday Seminar, Institute: Open only to IMP/IMBA/GMI/Max Perutz Labs, Host: None

    Mon
    15
    Sep 2025
    Monday Seminar

    Monday Seminar (Internal)

      12:30
      IMP Lecture Hall
      None
      GONZALEZ ALVARADO Maria Nazareth (Grade), KASHKO Nataliia (Matos), OBERHUEMER Michael (Leeb)

    Date: 2025-09-15, Time: 12:30:00, Speaker: GONZALEZ ALVARADO Maria Nazareth (Grade)KASHKO Nataliia (Matos)OBERHUEMER Michael (Leeb), Location: IMP Lecture Hall, Type: Monday Seminar, Institute: Open only to IMP/IMBA/GMI/Max Perutz Labs, Host: None

    Thu
    18
    Sep 2025
    VBC Regular Seminar

    Title to be announced

      11:00
      IMBA/GMI Lecture Hall
      Joao Matos, Peter Schlögelhofer
      Katja Wassmann

    Date: 2025-09-18, Time: 11:00:00, Speaker: Katja Wassmann, Location: IMBA/GMI Lecture Hall, Type: VBC Regular Seminar, Institute: Institute Jacques Monod, Host: Joao Matos, Peter Schlögelhofer

    Mon
    22
    Sep 2025
    Monday Seminar

    Monday Seminar (Internal)

      12:30
      IMP Lecture Hall
      None
      KONSTANTINOU Andri (Obenauf), HARTMANN Felix (Matos), JENTOFT Ida (Pauli)

    Date: 2025-09-22, Time: 12:30:00, Speaker: KONSTANTINOU Andri (Obenauf)HARTMANN Felix (Matos)JENTOFT Ida (Pauli), Location: IMP Lecture Hall, Type: Monday Seminar, Institute: Open only to IMP/IMBA/GMI/Max Perutz Labs, Host: None

    Thu
    25
    Sep 2025
    VBC Regular Seminar

    Title to be announced

      11:00
      IMBA/GMI Lecture Hall
      Alex Stark
      Fabian Theis

    Date: 2025-09-25, Time: 11:00:00, Speaker: Fabian Theis, Location: IMBA/GMI Lecture Hall, Type: VBC Regular Seminar, Institute: Computational Health Center, Helmholtz Munich, Host: Alex Stark

    Mon
    29
    Sep 2025
    Monday Seminar

    Monday Seminar (Internal)

      12:30
      IMP Lecture Hall
      None
      PAVLOVA Anzhela (Matos), SHARMA Sanskriti (Ellis), VETRANO Pamela (Ramundo)

    Date: 2025-09-29, Time: 12:30:00, Speaker: PAVLOVA Anzhela (Matos)SHARMA Sanskriti (Ellis)VETRANO Pamela (Ramundo), Location: IMP Lecture Hall, Type: Monday Seminar, Institute: Open only to IMP/IMBA/GMI/Max Perutz Labs, Host: None

    Mon
    06
    Oct 2025
    Monday Seminar

    Monday Seminar (Internal)

      12:30
      IMP Lecture Hall
      None
      WIGHARD Sara Sylvia (Burga), PRLESI Ines (Gerlich), BECHT Nanette (Gaidt)

    Date: 2025-10-06, Time: 12:30:00, Speaker: WIGHARD Sara Sylvia (Burga)PRLESI Ines (Gerlich)BECHT Nanette (Gaidt), Location: IMP Lecture Hall, Type: Monday Seminar, Institute: Open only to IMP/IMBA/GMI/Max Perutz Labs, Host: None

    Thu
    09
    Oct 2025
    VBC Regular Seminar

    Title to be announced

      11:00
      IMBA/GMI Lecture Hall
      Elly Tanaka
      Alexander van Oudenaarden

    Date: 2025-10-09, Time: 11:00:00, Speaker: Alexander van Oudenaarden, Location: IMBA/GMI Lecture Hall, Type: VBC Regular Seminar, Institute: Hubrecht Institute, Host: Elly Tanaka

    Mon
    13
    Oct 2025
    Monday Seminar

    Monday Seminar (Internal)

      12:30
      IMP Lecture Hall
      None
      PIECH Lucas (Leonard), NABIH MOSTAFA Amena (Pauli), GREMMELMAIER Constanze (Plaschka)

    Date: 2025-10-13, Time: 12:30:00, Speaker: PIECH Lucas (Leonard)NABIH MOSTAFA Amena (Pauli)GREMMELMAIER Constanze (Plaschka), Location: IMP Lecture Hall, Type: Monday Seminar, Institute: Open only to IMP/IMBA/GMI/Max Perutz Labs, Host: None

    Thu
    16
    Oct 2025
    VBC Regular Seminar

    Title to be announced

      11:00
      IMBA/GMI Lecture Hall
      Andrea Pauli
      Anne Brunet

    Date: 2025-10-16, Time: 11:00:00, Speaker: Anne Brunet, Location: IMBA/GMI Lecture Hall, Type: VBC Regular Seminar, Institute: Stanford University, Host: Andrea Pauli

    Mon
    20
    Oct 2025
    Monday Seminar

    Monday Seminar (Internal)

      12:30
      IMP Lecture Hall
      None
      KYPRIANOU Christos (Rivron), MOYSIADOU Sofia (Obenauf), GALLAGE CHANUKA POSHITHA Fernando (Zimmer)

    Date: 2025-10-20, Time: 12:30:00, Speaker: KYPRIANOU Christos (Rivron)MOYSIADOU Sofia (Obenauf)GALLAGE CHANUKA POSHITHA Fernando (Zimmer), Location: IMP Lecture Hall, Type: Monday Seminar, Institute: Open only to IMP/IMBA/GMI/Max Perutz Labs, Host: None

    Thu
    23
    Oct 2025
    VBC Regular Seminar

    Title to be announced

      11:00
      IMBA/GMI Lecture Hall
      Joanna Jachowicz, Martin Leeb
      Aydan Bulut-Karslioglu

    Date: 2025-10-23, Time: 11:00:00, Speaker: Aydan Bulut-Karslioglu, Location: IMBA/GMI Lecture Hall, Type: VBC Regular Seminar, Institute: MPI Berlin, Host: Joanna Jachowicz, Martin Leeb

    Mon
    27
    Oct 2025
    Monday Seminar

    Monday Seminar (Internal)

      12:30
      IMP Lecture Hall
      None
      IAROVENKO Svetlana (Brennecke), HIDAKA Takuya (Gerlich)

    Date: 2025-10-27, Time: 12:30:00, Speaker: IAROVENKO Svetlana (Brennecke)HIDAKA Takuya (Gerlich), Location: IMP Lecture Hall, Type: Monday Seminar, Institute: Open only to IMP/IMBA/GMI/Max Perutz Labs, Host: None

    Thu
    30
    Oct 2025
    VBC Regular Seminar

    Title to be announced

      11:00
      IMBA/GMI Lecture Hall
      David Haselbach
      Kresten Lindorff-Larssen

    Date: 2025-10-30, Time: 11:00:00, Speaker: Kresten Lindorff-Larssen, Location: IMBA/GMI Lecture Hall, Type: VBC Regular Seminar, Institute: University of Copenhagen, Host: David Haselbach

    Mon
    03
    Nov 2025
    Monday Seminar

    Monday Seminar (Internal)

      12:30
      IMP Lecture Hall
      None
      DIAS Ana Beatriz (Slade), VALERI Erika (Gaidt), CHATZIANGELOU Myrto (Stark)

    Date: 2025-11-03, Time: 12:30:00, Speaker: DIAS Ana Beatriz (Slade)VALERI Erika (Gaidt)CHATZIANGELOU Myrto (Stark), Location: IMP Lecture Hall, Type: Monday Seminar, Institute: Open only to IMP/IMBA/GMI/Max Perutz Labs, Host: None

    Mon
    10
    Nov 2025
    Monday Seminar

    Monday Seminar (Internal)

      12:30
      IMP Lecture Hall
      None
      FRASZ Lisa-Maria (Obenauf), MYLARSHCHIKOV Dmitry (Gerlich), SAHA Sayantan (Huis)

    Date: 2025-11-10, Time: 12:30:00, Speaker: FRASZ Lisa-Maria (Obenauf)MYLARSHCHIKOV Dmitry (Gerlich)SAHA Sayantan (Huis), Location: IMP Lecture Hall, Type: Monday Seminar, Institute: Open only to IMP/IMBA/GMI/Max Perutz Labs, Host: None

    Thu
    13
    Nov 2025
    VBC Regular Seminar

    Title to be announced

      11:00
      IMBA/GMI Lecture Hall
      Joanna Jachowicz, Martin Leeb
      Jamie Hackett

    Date: 2025-11-13, Time: 11:00:00, Speaker: Jamie Hackett, Location: IMBA/GMI Lecture Hall, Type: VBC Regular Seminar, Institute: EMBL Rome, Host: Joanna Jachowicz, Martin Leeb

    Mon
    17
    Nov 2025
    Monday Seminar

    Monday Seminar (Internal)

      12:30
      IMP Lecture Hall
      None
      PITASI Mattia (Leeb), FORBES Rebecca (Görke), MATURI Samuele (Grade)

    Date: 2025-11-17, Time: 12:30:00, Speaker: PITASI Mattia (Leeb)FORBES Rebecca (Görke)MATURI Samuele (Grade), Location: IMP Lecture Hall, Type: Monday Seminar, Institute: Open only to IMP/IMBA/GMI/Max Perutz Labs, Host: None

    Thu
    20
    Nov 2025
    VBC Regular Seminar

    To be annouced

      11:00
      IMBA/GMI Lecture Hall
      Marco Hein
      Noam Stern-Ginossar

    Date: 2025-11-20, Time: 11:00:00, Speaker: Noam Stern-Ginossar, Location: IMBA/GMI Lecture Hall, Type: VBC Regular Seminar, Institute: Weizmann Institute of Science, Host: Marco Hein

    Mon
    24
    Nov 2025
    Monday Seminar

    Monday Seminar (Internal)

      12:30
      IMP Lecture Hall
      None
      HEINZL Monika (Stark), MARTZIOS Panagiotis (Huis), BASTOS VENTURA Guilherme (Pinheiro)

    Date: 2025-11-24, Time: 12:30:00, Speaker: HEINZL Monika (Stark)MARTZIOS Panagiotis (Huis)BASTOS VENTURA Guilherme (Pinheiro), Location: IMP Lecture Hall, Type: Monday Seminar, Institute: Open only to IMP/IMBA/GMI/Max Perutz Labs, Host: None

    Mon
    01
    Dec 2025
    Monday Seminar

    Monday Seminar (Internal)

      12:30
      IMP Lecture Hall
      None
      JONASSON Mattias (Bücker), KNAUDT Hannah (Haselbach)

    Date: 2025-12-01, Time: 12:30:00, Speaker: JONASSON Mattias (Bücker)KNAUDT Hannah (Haselbach), Location: IMP Lecture Hall, Type: Monday Seminar, Institute: Open only to IMP/IMBA/GMI/Max Perutz Labs, Host: None

    Mon
    15
    Dec 2025
    Monday Seminar

    Monday Seminar (Internal)

      12:30
      IMP Lecture Hall
      None
      BERKUN Kathleen (Hallacli), , GRAF Max (Plaschka)

    Date: 2025-12-15, Time: 12:30:00, Speaker: BERKUN Kathleen (Hallacli)GRAF Max (Plaschka), Location: IMP Lecture Hall, Type: Monday Seminar, Institute: Open only to IMP/IMBA/GMI/Max Perutz Labs, Host: None

    Mon
    12
    Jan 2026
    Monday Seminar

    Monday Seminar (Internal)

      12:30
      IMP Lecture Hall
      None
      BOHAUMILITZKY Lena (Pinheiro), SPEICHERT Katarzyna (Martens), NG Hing Pan (Ma)

    Date: 2026-01-12, Time: 12:30:00, Speaker: BOHAUMILITZKY Lena (Pinheiro)SPEICHERT Katarzyna (Martens)NG Hing Pan (Ma), Location: IMP Lecture Hall, Type: Monday Seminar, Institute: Open only to IMP/IMBA/GMI/Max Perutz Labs, Host: None

    Mon
    19
    Jan 2026
    Monday Seminar

    Monday Seminar (Internal)

      12:30
      IMP Lecture Hall
      None
      FARAWAY Rupert (Plaschka), ETHIER Elizabeth (Hallacli), RAINA Shiviya (Dammermann)

    Date: 2026-01-19, Time: 12:30:00, Speaker: FARAWAY Rupert (Plaschka)ETHIER Elizabeth (Hallacli)RAINA Shiviya (Dammermann), Location: IMP Lecture Hall, Type: Monday Seminar, Institute: Open only to IMP/IMBA/GMI/Max Perutz Labs, Host: None

    Mon
    26
    Jan 2026
    Monday Seminar

    Monday Seminar (Internal)

      12:30
      IMP Lecture Hall
      None
      WULF Paul Oliver (Tessmar), MISHRA Sachin (Stark), OGZUC Olivia (Querques)

    Date: 2026-01-26, Time: 12:30:00, Speaker: WULF Paul Oliver (Tessmar)MISHRA Sachin (Stark)OGZUC Olivia (Querques), Location: IMP Lecture Hall, Type: Monday Seminar, Institute: Open only to IMP/IMBA/GMI/Max Perutz Labs, Host: None

    Mon
    02
    Feb 2026
    Monday Seminar

    Monday Seminar (Internal)

      12:30
      IMP Lecture Hall
      None
      COSTANTINI Elena (Tanaka), VIOHL Niklas (Köhler), LEON-RUIZ Jesus (Dolan)

    Date: 2026-02-02, Time: 12:30:00, Speaker: COSTANTINI Elena (Tanaka)VIOHL Niklas (Köhler)LEON-RUIZ Jesus (Dolan), Location: IMP Lecture Hall, Type: Monday Seminar, Institute: Open only to IMP/IMBA/GMI/Max Perutz Labs, Host: None

    Mon
    09
    Feb 2026
    Monday Seminar

    Monday Seminar (Internal)

      12:30
      IMP Lecture Hall
      None
      MIOCIC-STOSIC Fran (Zagrovic), BELL Caelan (Gerlich), KLEINWAECHTER Ava (Slade)

    Date: 2026-02-09, Time: 12:30:00, Speaker: MIOCIC-STOSIC Fran (Zagrovic)BELL Caelan (Gerlich)KLEINWAECHTER Ava (Slade), Location: IMP Lecture Hall, Type: Monday Seminar, Institute: Open only to IMP/IMBA/GMI/Max Perutz Labs, Host: None

    Mon
    16
    Feb 2026
    Monday Seminar

    Monday Seminar (Internal)

      12:30
      IMP Lecture Hall
      None
      HOFMANN Maura (Van der Veeken), SEN Zeynep Begüm (Ma), ZEN PETISCO FIORE Ana Paula (Urban)

    Date: 2026-02-16, Time: 12:30:00, Speaker: HOFMANN Maura (Van der Veeken)SEN Zeynep Begüm (Ma)ZEN PETISCO FIORE Ana Paula (Urban), Location: IMP Lecture Hall, Type: Monday Seminar, Institute: Open only to IMP/IMBA/GMI/Max Perutz Labs, Host: None

    Mon
    23
    Feb 2026
    Monday Seminar

    Monday Seminar (Internal)

      12:30
      IMP Lecture Hall
      None
      JANKOWSKA Julia (Ameres), DOCAVO GARCIA Antonio (Jachowicz), HAONAN Bao (Dolan)

    Date: 2026-02-23, Time: 12:30:00, Speaker: JANKOWSKA Julia (Ameres)DOCAVO GARCIA Antonio (Jachowicz)HAONAN Bao (Dolan), Location: IMP Lecture Hall, Type: Monday Seminar, Institute: Open only to IMP/IMBA/GMI/Max Perutz Labs, Host: None

    Mon
    02
    Mar 2026
    Monday Seminar

    Monday Seminar (Internal)

      12:30
      IMP Lecture Hall
      None
      RUSSETT Colleen (Berger), ZEILER Christine (Kovarik), HOLLAUS David (Gaidt)

    Date: 2026-03-02, Time: 12:30:00, Speaker: RUSSETT Colleen (Berger)ZEILER Christine (Kovarik)HOLLAUS David (Gaidt), Location: IMP Lecture Hall, Type: Monday Seminar, Institute: Open only to IMP/IMBA/GMI/Max Perutz Labs, Host: None

    Mon
    09
    Mar 2026
    Monday Seminar

    Monday Seminar (Internal)

      12:30
      IMP Lecture Hall
      None
      GUZMAN PEREZ Sebastian (Martinez), ROFFAY Chloe (Pinheiro), BHARDWAJ Vishakha (Schlögelhofer)

    Date: 2026-03-09, Time: 12:30:00, Speaker: GUZMAN PEREZ Sebastian (Martinez)ROFFAY Chloe (Pinheiro)BHARDWAJ Vishakha (Schlögelhofer), Location: IMP Lecture Hall, Type: Monday Seminar, Institute: Open only to IMP/IMBA/GMI/Max Perutz Labs, Host: None

    Mon
    16
    Mar 2026
    Monday Seminar

    Monday Seminar (Internal)

      12:30
      IMP Lecture Hall
      None
      ZELGER Patrick (Obenauf), SHETTY Kavya (Hein), JANSEN Ralf (Brennecke)

    Date: 2026-03-16, Time: 12:30:00, Speaker: ZELGER Patrick (Obenauf)SHETTY Kavya (Hein)JANSEN Ralf (Brennecke), Location: IMP Lecture Hall, Type: Monday Seminar, Institute: Open only to IMP/IMBA/GMI/Max Perutz Labs, Host: None

    Mon
    23
    Mar 2026
    Monday Seminar

    Monday Seminar (Internal)

      12:30
      IMP Lecture Hall
      None
      ALAABO Mahammed (Gerlich), CA COSTA Berbara (Berger), EMTENANI Shamsi (Knoblich)

    Date: 2026-03-23, Time: 12:30:00, Speaker: ALAABO Mahammed (Gerlich)CA COSTA Berbara (Berger)EMTENANI Shamsi (Knoblich), Location: IMP Lecture Hall, Type: Monday Seminar, Institute: None, Host: None

    Mon
    30
    Mar 2026
    Monday Seminar

    Monday Seminar (Internal)

      12:30
      IMP Lecture Hall
      None
      SCHMID Maximilian (Martens), ALARCON DEL CARMEN Alejandro (Urban), WUN Cheuk Ling (Ramundo)

    Date: 2026-03-30, Time: 12:30:00, Speaker: SCHMID Maximilian (Martens)ALARCON DEL CARMEN Alejandro (Urban)WUN Cheuk Ling (Ramundo), Location: IMP Lecture Hall, Type: Monday Seminar, Institute: Open only to IMP/IMBA/GMI/Max Perutz Labs, Host: None

    Mon
    13
    Apr 2026
    Monday Seminar

    Monday Seminar (Internal)

      12:30
      IMP Lecture Hall
      None
      RAUSCHMEIER Rene (Van der Veeken), KLOSS Linda (Technau), WAGNER Clara-Anna (Otsuka)

    Date: 2026-04-13, Time: 12:30:00, Speaker: RAUSCHMEIER Rene (Van der Veeken)KLOSS Linda (Technau)WAGNER Clara-Anna (Otsuka), Location: IMP Lecture Hall, Type: Monday Seminar, Institute: Open only to IMP/IMBA/GMI/Max Perutz Labs, Host: None

    Mon
    20
    Apr 2026
    Monday Seminar

    Monday Seminar (Internal)

      12:30
      IMP Lecture Hall
      None
      GRATZL Sascha (Karagöz), ROVERA Emanuele (Zuber), SCHAAR Benjamin (Zimmer)

    Date: 2026-04-20, Time: 12:30:00, Speaker: GRATZL Sascha (Karagöz)ROVERA Emanuele (Zuber)SCHAAR Benjamin (Zimmer), Location: IMP Lecture Hall, Type: Monday Seminar, Institute: Open only to IMP/IMBA/GMI/Max Perutz Labs, Host: None

    Mon
    27
    Apr 2026
    Monday Seminar

    Monday Seminar (Internal)

      12:30
      IMP Lecture Hall
      None
      KLEINFERCHER Sebastian (Stark), MÜLLER Marlene (Rivron), GENIDY Rodina (Campbell)

    Date: 2026-04-27, Time: 12:30:00, Speaker: KLEINFERCHER Sebastian (Stark)MÜLLER Marlene (Rivron)GENIDY Rodina (Campbell), Location: IMP Lecture Hall, Type: Monday Seminar, Institute: Open only to IMP/IMBA/GMI/Max Perutz Labs, Host: None

    Mon
    04
    May 2026
    Monday Seminar

    Monday Seminar (Internal)

      12:30
      IMP Lecture Hall
      None
      STUCHLIK Valentina (Hallacli/Falk), RAIDERS Stephan (Tanaka), MAERSCHALK Romana (Zuber)

    Date: 2026-05-04, Time: 12:30:00, Speaker: STUCHLIK Valentina (Hallacli/Falk)RAIDERS Stephan (Tanaka)MAERSCHALK Romana (Zuber), Location: IMP Lecture Hall, Type: Monday Seminar, Institute: Open only to IMP/IMBA/GMI/Max Perutz Labs, Host: None

    Mon
    11
    May 2026
    Monday Seminar

    Monday Seminar (Internal)

      12:30
      IMP Lecture Hall
      None
      NENADOVIC Milena (Moll), MUJADZIC Amra (Mendjan), WOLKENSTEIN Felix (Leonard)

    Date: 2026-05-11, Time: 12:30:00, Speaker: NENADOVIC Milena (Moll)MUJADZIC Amra (Mendjan)WOLKENSTEIN Felix (Leonard), Location: IMP Lecture Hall, Type: Monday Seminar, Institute: Open only to IMP/IMBA/GMI/Max Perutz Labs, Host: None

    Mon
    18
    May 2026
    Monday Seminar

    Monday Seminar (Internal)

      12:30
      IMP Lecture Hall
      None
      BOBROVNIKOVA Lidia (Irwin), HASLHOFER Felix (Bücker), HANDLER Dominik (Brennecke)

    Date: 2026-05-18, Time: 12:30:00, Speaker: BOBROVNIKOVA Lidia (Irwin)HASLHOFER Felix (Bücker)HANDLER Dominik (Brennecke), Location: IMP Lecture Hall, Type: Monday Seminar, Institute: Open only to IMP/IMBA/GMI/Max Perutz Labs, Host: None

    Mon
    01
    Jun 2026
    Monday Seminar

    Monday Seminar (Internal)

      12:30
      IMP Lecture Hall
      None
      SCHIMMER Clara (Ellis), WALLNÖFER Moritz (Clausen), LIANG Siwen (Martens)

    Date: 2026-06-01, Time: 12:30:00, Speaker: SCHIMMER Clara (Ellis)WALLNÖFER Moritz (Clausen)LIANG Siwen (Martens), Location: IMP Lecture Hall, Type: Monday Seminar, Institute: Open only to IMP/IMBA/GMI/Max Perutz Labs, Host: None

    Mon
    08
    Jun 2026
    Monday Seminar

    Monday Seminar (Internal)

      12:30
      IMP Lecture Hall
      None
      NEUHOFER Olivia (Zuber), SPENCER Victoria (Dolan), SIMON Carla (Slade)

    Date: 2026-06-08, Time: 12:30:00, Speaker: NEUHOFER Olivia (Zuber)SPENCER Victoria (Dolan)SIMON Carla (Slade), Location: IMP Lecture Hall, Type: Monday Seminar, Institute: Open only to IMP/IMBA/GMI/Max Perutz Labs, Host: None

    Mon
    15
    Jun 2026
    Monday Seminar

    Monday Seminar (Internal)

      12:30
      IMP Lecture Hall
      None
      SCHEPERS Sandra (Knoblich), TEUSCHL Matthias (Balzarotti/Peters), GARCIA GALLARDO Maria (Bücker)

    Date: 2026-06-15, Time: 12:30:00, Speaker: SCHEPERS Sandra (Knoblich)TEUSCHL Matthias (Balzarotti/Peters)GARCIA GALLARDO Maria (Bücker), Location: IMP Lecture Hall, Type: Monday Seminar, Institute: Open only to IMP/IMBA/GMI/Max Perutz Labs, Host: None

    Mon
    22
    Jun 2026
    Monday Seminar

    Monday Seminar (Internal)

      12:30
      IMP Lecture Hall
      None
      KRAVVARITI Konstantina (Clausen), BOREIKAITE Vytaute (Plaschka), SAKALLI Enes (Von Haeseler/Menche)

    Date: 2026-06-22, Time: 12:30:00, Speaker: KRAVVARITI Konstantina (Clausen)BOREIKAITE Vytaute (Plaschka)SAKALLI Enes (Von Haeseler/Menche), Location: IMP Lecture Hall, Type: Monday Seminar, Institute: Open only to IMP/IMBA/GMI/Max Perutz Labs, Host: None

    Mon
    29
    Jun 2026
    Monday Seminar

    Monday Seminar (Internal)

      12:30
      IMP Lecture Hall
      None
      BISHT Sneha (Schlögelhofer), MAYER Hannah (Dammermann), SRINIVASAN Navaneeth (Peters)

    Date: 2026-06-29, Time: 12:30:00, Speaker: BISHT Sneha (Schlögelhofer)MAYER Hannah (Dammermann)SRINIVASAN Navaneeth (Peters), Location: IMP Lecture Hall, Type: Monday Seminar, Institute: Open only to IMP/IMBA/GMI/Max Perutz Labs, Host: None

    Mon
    06
    Jul 2026
    Monday Seminar

    Monday Seminar (Internal)

      12:30
      IMP Lecture Hall
      None
      HAMMERSCHMID Iana (Querques), DODAMANI Ananya (Campbell), DE MARZO Niccolo (Grade)

    Date: 2026-07-06, Time: 12:30:00, Speaker: HAMMERSCHMID Iana (Querques)DODAMANI Ananya (Campbell)DE MARZO Niccolo (Grade), Location: IMP Lecture Hall, Type: Monday Seminar, Institute: Open only to IMP/IMBA/GMI/Max Perutz Labs, Host: None

    Mon
    13
    Jul 2026
    Monday Seminar

    Monday Seminar (Internal)

      12:30
      IMP Lecture Hall
      None
      JAVONOVIC Jovana (Ameres), MEIR Zohar (Dolan), VON WIREN Julius (Kovarik)

    Date: 2026-07-13, Time: 12:30:00, Speaker: JAVONOVIC Jovana (Ameres)MEIR Zohar (Dolan)VON WIREN Julius (Kovarik), Location: IMP Lecture Hall, Type: Monday Seminar, Institute: Open only to IMP/IMBA/GMI/Max Perutz Labs, Host: None

    Mon
    20
    Jul 2026
    Monday Seminar

    Monday Seminar (Internal)

      12:30
      IMP Lecture Hall
      None
      DAWUD Roba (Brennecke), RAUH Felix (Berger), PLATZER Sebastian (Hein)

    Date: 2026-07-20, Time: 12:30:00, Speaker: DAWUD Roba (Brennecke)RAUH Felix (Berger)PLATZER Sebastian (Hein), Location: IMP Lecture Hall, Type: Monday Seminar, Institute: Open only to IMP/IMBA/GMI/Max Perutz Labs, Host: None

    Mon
    27
    Jul 2026
    Monday Seminar

    Monday Seminar (Internal)

      12:30
      IMP Lecture Hall
      None
      BODO Robert (Matos), BREHM Martin (Falk), DAHAN Tal (Nordborg)

    Date: 2026-07-27, Time: 12:30:00, Speaker: BODO Robert (Matos)BREHM Martin (Falk)DAHAN Tal (Nordborg), Location: IMP Lecture Hall, Type: Monday Seminar, Institute: Open only to IMP/IMBA/GMI/Max Perutz Labs, Host: None

    Mon
    03
    Aug 2026
    Monday Seminar

    Monday Seminar (Internal)

      12:30
      IMP Lecture Hall
      None
      PROTSENKO Liudmila (Brennecke), KRACHT Laura (Knoblich), ST JOHN Xavier (Ramundo)

    Date: 2026-08-03, Time: 12:30:00, Speaker: PROTSENKO Liudmila (Brennecke)KRACHT Laura (Knoblich)ST JOHN Xavier (Ramundo), Location: IMP Lecture Hall, Type: Monday Seminar, Institute: Open only to IMP/IMBA/GMI/Max Perutz Labs, Host: None

    Mon
    10
    Aug 2026
    Monday Seminar

    Monday Seminar (Internal)

      12:30
      IMP Lecture Hall
      None
      MOHAMMAD Umar (Pinheiro), SINGH Agastya (Jachowicz)

    Date: 2026-08-10, Time: 12:30:00, Speaker: MOHAMMAD Umar (Pinheiro)SINGH Agastya (Jachowicz), Location: IMP Lecture Hall, Type: Monday Seminar, Institute: Open only to IMP/IMBA/GMI/Max Perutz Labs, Host: None

    • Name
      Phone
      Mail
      Function
      Group
      Room
    • A
    • Kim Ivan Abesamis
      +43 1 4277 61626
      PhD Student
      Dong Lab
      3.127
      Main Building
    • Ernesto Abila
      +43 1 4277 00000
      PhD Student
      Menche Lab
    • Amr Abouelezz
      +43 1 4277 52224
      PostDoc
      Ries Lab
      0.323
      VBC5
    • Sonja Achleitner
      +43-1-4277-54632
      PhD Student
      Martens Lab
      5.401
      Main Building
    • Elias Adriaenssens
      +43 1 4277 52828
      PostDoc
      Martens Lab
      5.401
      Main Building
    • Sadia Sabrina Alam
      +43 1 4277 52810
      PhD Student
      Bachmair Lab
      5.108
      Main Building
    • Thomas Altmutter
      +43 1 4277 24003
      Digital Content Manager
      3.118
      Main Building
    • Stefan Ameres
      +43 1 4277 74821
      Group Leader
      Ameres Lab
      2.119
      Main Building
    • Eleni Angelopoulou
      +43 1 4277 74649
      PhD Student
      Ellis Lab
      3.121
      Main Building
    • Aleksandra Anisimova
      +43 1 4277 61653
      PhD Student
      Karagöz Lab
      3.502
      Main Building
    • Dorothea Anrather
      +43 1 4277 52846
      Facility Specialist
      E72
      VBC 6
    • Sumire Antonioli
      +43 1 4277 52241
      PhD Student
      Leonard Lab
      1.222
      VBC5
    • Lisa Appel
      +43 1 4277 52866
      PostDoc
      Slade Lab
      5.506
      Main Building
    • Gabriela Ariza
      +43 4277 52241
      Master Student
      1.222
      VBC5
    • Igor Asanovic
      +43 1 4277 61815
      PostDoc
      Martinez Lab
      2.512
      Main Building
    • Zahra Ayatollahi
      +43 1 4277 61609
      Office Coordinator
      Martens Lab
      3.518
      Main Building
    • B
    • Olga Babadei
      +43 1 4277 54630
      PhD Student
      Decker Lab
      4.529
      Main Building
    • Manuela Baccarini
      +43 1 4277 54607
      Group Leader
      Baccarini Lab
      4.628
      Main Building
    • Andreas Bachmair
      +43 1 4277 74811
      Group Leader
      Bachmair Lab
      5.110
      Main Building
    • Gergely Bakocai
      +43 1 4277 61785
      Technician
      2.527
      Main Building
    • Andrea Barta
      +43 1 4277 61640
      Lecturer
      3.516
      Main Building
    • Antoine Baudrimont
      +43 1 4277 56261
      PostDoc
      Jantsch Lab
      5.522
      Main Building
    • Bernd Bauer
      +43 1 4277 24001
      PhD Student
      Martens Lab
      5.502
      Main Building
    • Monika Bebjakova
      +43 1 4277 74825
      Technician
      Ameres Lab
      2.126
      Main Building
    • Moritz Becker
      +43 1 4277 61645
      PhD Student
      Leeb Lab
      3.123
      Main Building
    • Johannes Benedum
      +43 1 4277 52807
      PhD Student
      Slade Lab
      5.508
      Main Building
    • Christian Bernhart
      +43 1 4277 52812
      IT Support
      2.601
      Main Building
    • Benjamin Bernrieder
      +43 1 4277 52272
      Technician
      Zagrovic Lab
      1.612
      VBC5
    • Annika Bestehorn
      +43 1 4277 54627
      PostDoc
      Kovarik Lab
      4.514
      Main Building
    • Vishakha Bhardwaj
      +43 1 4277 56241
      PhD Student
      Schlögelhofer Lab
      Main Building
    • Michael Bindl
      +43 1 4277 61645
      PhD Student
      Leeb Lab
      3.123
      Main Building
    • Nora Bischoff
      +43 1 4277 54625
      Technician
      Kovarik Lab
      4.514
      Main Building
    • Sneha Bisht
      +43 1 4277 56241
      PhD Student
      Schlögelhofer Lab
      5.524
      Main Building
    • Dieter Blaas
      +43 1 4277 61630
      Lecturer
      3.516
      Main Building
    • Udo Bläsi
      +43 1 4277 54609
      Group Leader
      4.121
      Main Building
    • Clara Bodner
      +43 1 4277 24007
      Facility Specialist
    • Robert Bodo
      +43 1 4277 56231
      PhD Student
      Matos Lab
      5.125
      Main Building
    • Matteo Bordi
      +43 1 4277 54614
      Lab Technician
      Versteeg Lab
      4.108
      Main Building
    • Helena Bragulat Teixidor
      +43 1 4277 61668
      PhD Student
      Otsuka Lab
      3.505
      Main Building
    • Martin Brehm
      +43 1 4277 74361
      PhD Student
      Falk Lab
      1.624
      VBC5
    • Helena Brezovec
      +43 1 4277 61812
      Technician
      2.107
      Main Building
    • Barbara Brumec
      +43 1 4277 61661
      Technician
      3.518
      Main Building
    • Chloe Bucheron
      +43 1 4277 74371
      PhD Student
      Menche Lab
      1.104
      Althanstr.
    • Valentina Budroni
      +43 1 4277 54164
      PhD Student
      Versteeg Lab
      4.108
      Main Building
    • Christa Buecker
      +43 1 4277 74646
      Group Leader
      Bücker Lab
      3.626
      Main Building
    • Iva Buljan
      +43 1 4277 74370
      PhD Student
      Menche Lab
      1.604
      Althanstr.
    • Anna Burger
      +43 1 4277 24061
      Facility Specialist
      8.318
      Main Building
    • Virginia Busetto
      +43 1 4277 74320
      PostDoc
      Falk Lab
      1.624
      VBC5
    • C
    • Christopher Campbell
      +43 1 4277 74418
      Group Leader
      Campbell Lab
      5.614
      Main Building
    • Leandro Cannizzaro
      +43 1 4277 54629
      Lab Technician
      Baccarini Lab
      4.525
      Main Building
    • Irene Ceccolini
      +43 1 4277 52229
      PhD Student
      Konrat Lab
      0614
      VBC5
    • Chiara Ceriotti
      +43 1 79730 3450
      Program Manager
      5.10
      IMP/IMBA
    • Luis Miguel Cerron Alvan
      +43 1 4277 74645
      PhD Student
      Leeb Lab
      3.123
      Main Building
    • Ronit Chakraborty
      +43 1 4277 54627
      Lab Technician
      Kovarik Lab
      4.514
      Main Building
    • Victor Cheng-chieh Chao
      +43 1 4277 74831
      PhD Student
      Huis Lab
      5.515
      Main Building
    • Weiqiang Chen
      +43 1 4277 52846
      Facility Specialist
      E72
      VBC 6
    • Martin Chiettini
      +43 1 4277 74390
      Technical Manager
      Menche Lab
      1803
      Althanstr.
    • Tamara Civetta
      +43 1 4277 74646
      Lab Technician
      Bücker Lab
      3.510
      Main Building
    • America Ramirez Colmenero
      +43 1 4277 61641
      PhD Student
      Köhler Lab
      3.522
      Main Building
    • Andreea Constantinescu
      +43 1 4277 74649
      Lab Technician
      Ellis Lab
      3.121
      Main Building
    • Renate Coufal
      +43 1 4277 24071
      Facility Head
      1.117
      Main Building
    • Kitti Dora Csalyi
      +43 1 4277 24051
      Facility Head
      2.530
      Main Building
    • Viktor Csoti
      +43 1 4277 24042
      IT Support
      5.119
      Main Building
    • Andrea Czerny
      +43 1 4277 61606
      Science Support
      3.515
      Main Building
    • D
    • Alexander Dammermann
      +43 1 4277 54681
      Group Leader
      Dammermann Lab
      4.609
      Main Building
    • Thomas Decker
      +43 1 4277 54605
      Group Leader
      Decker Lab
      4.112
      Main Building
    • Isabel Del Pino Gomez
      +43 1 4277 54601
      Technician
      4.211
      Main Building
    • Pallavi Deolal
      +43 1 4277 61668
      PostDoc
      Otsuka Lab
      0.612
      VBC5
    • Beatriz Dias Ana
      +43 1 4277 52807
      PhD Student
      Slade Lab
      5.508
      Main Building
    • Sebastian Didusch
      +43 1 4277 54629
      PhD Student
      Baccarini Lab
      4.525
      Main Building
    • Ines Dittrich
      +43 1 4277 56241
      Technician
      5.524
      Main Building
    • Kristina Djinovic-Carugo
      +43 1 4277 52203
      Group Leader
      Djinovic Lab
      1.120
      VBC5
    • Ananya Dodamani
      +43 1 4277 52808
      PhD Student
      Campbell Lab
      5.512
      Main Building
    • Gang Dong
      +43 1 4277 61625
      Group Leader
      Dong Lab
      3.026
      Main Building
    • Leonie Drakos
      +43 1 4277 74649
      Lab Technician
      Ellis Lab
      3.121
      Main Building
    • David Drescher
      +43 1 4277 61704
      Technician
      Ogris Lab
      2.127
      Main Building
    • Sharif Duale
      +43 1 4277 61785
      Technician
      Köhler Lab
      3.514
      Main Building
    • Przemyslaw Dudys
      +43 1 4277 74610
      Technician
      Görke Lab
      4.110
      Main Building
    • Nestor Miguel Duque de Estrada
      +43 1 4277 52224
      Senior PostDoc
      Ries Lab
      0.612
      VBC5
    • E
    • Karin Ehrenreiter
      +43 1 4277 54617
      Office Administration
      4.114
      Main Building
    • Layla El Mossadeq
      +43 1 4277 61668
      PostDoc
      Otsuka Lab
      3.505
      Main Building
    • Stephanie Ellis
      +43 1 4277 74648
      Group Leader
      Ellis Lab
      3.118
      Main Building
    • Magdalena Engl
      +43 1 4277 52807
      PhD Student
      Slade Lab
      5.508
      Main Building
    • Eray Esendir
      +43 1 4277 61741
      PostDoc
      Ogris Lab
      2.130
      Main Building
    • Elizabeth Ethier
      +43 1 4277 61822
      PhD Student
      Hallacli Lab
      2.504
      Main Building
    • Julia Eymann
      +43 1 4277 54621
      Lab Manager
      Dammermann Lab
      4.508
      Main Building
    • F
    • Anna Philina Fabing
      +43 1 4277 74645
      Technician
      Leeb Lab
      3.123
      Main Building
    • Sebastian Falk
      +43 1 4277 74360
      Group Leader
      Falk Lab
      1.620
      VBC5
    • Michel Fasnacht
      +43 1 4277 54632
      Senior PostDoc
      Moll Lab
      4.129
      Main Building
    • Renate Fauland
      +43 1 4277 50115
      Program Administration
      6.111a
      Main Building
    • Songjie Feng
      +43 1 4277 74647
      PhD Student
      Bücker Lab
      3.510
      Main Building
    • Luca Ferrari
      +43 1 4277 52828
      PostDoc
      Martens Lab
      5.502
      Main Building
    • Jeanne Fesselet
      +43 1 4277 54626
      PhD Student
      Kovarik Lab
      4.516
      Main Building
    • Daria Filipczak
      +43 1 4277 61681
      PhD Student
      Foisner Lab
      3.110
      Main Building
    • Tatiana Firfa
      +43 1 4277 61645
      Master Student
      Leeb Lab
      3.123
      Main Building
    • Sabine Fischer
      +43 1 4277 24014
      Head of Communications
      3.117
      Main Building
    • Irmgard Fischer
      +43 1 4277 52866
      Facility Head
      5.506
      Main Building
    • Felix Fischer
      +43 1 4277 52272
      PhD Student
      Zagrovic Lab
      1.114
      VBC5
    • Roland Foisner
      +43 1 4277 61680
      Group Leader
      Foisner Lab
      3.113
      Main Building
    • Rebecca Forbes
      +43 1 4277 74610
      PhD Student
      Görke Lab
      4.110
      Main Building
    • Maurizio Forte
      +43 1 4277 54626
      PhD Student
      Kovarik Lab
      4.516
      Main Building
    • Fiona Freyberger
      +43 1 4277 54626
      Lab Technician
      Kovarik Lab
      4.516
      Main Building
    • Ingrid Frohner
      +43 1 4277 61740
      PostDoc
      Ogris Lab
      2.130
      Main Building
    • Johanna Fromherz
      +43 1 4277 61741
      Technician
      Ogris Lab
      2.127
      Althanstr.
    • Peter Fuchs
      +43 1 4277 52866
      Group Leader
      Fuchs Lab
      5.024
      Main Building
    • G
    • Laura Gallego
      +43 1 4277 61641
      PostDoc
      Köhler Lab
      3.522
      Main Building
    • Philipp Galuska
      +43 1 4277 52263
      PhD Student
      Djinovic Lab
      0114
      VBC5
    • Pau Garcia
      +43 1 4277 52225
      Trainee
      Ries Lab
      0323
      VBC5
    • Julia Garcia Baucells
      +43 1 4277 54621
      PhD Student
      Dammermann Lab
      4.508
      Main Building
    • María García Gallardo
      +43 1 4277 74647
      PhD Student
      Bücker Lab
      3.510
      Main Building
    • Sowmya Geetha
      +43 1 4277 56250
      PhD Student
      Jantsch Lab
      5.522
      Main Building
    • Rodina Genidy
      +43 1 4277 00000
      PhD Student
      Campbell Lab
      5.512
      Main Building
    • Ines Gerard-Ursin
      +43 1 4277 74370
      PhD Student
      Menche Lab
    • Boris Görke
      +43 1 4277 54603
      Group Leader
      Görke Lab
      4.113
      Main Building
    • Irene Gösler
      +43 1 4277 61673
      Technician
      Foisner Lab
      3.108
      Main Building
    • Josef Gotzmann
      +43 1 4277 74310
      Facility Head
      1.618
      VBC5
    • Angela Graf
      +43 1 4277 56261
      Lab Technician
      Jantsch Lab
      5.522
      Main Building
    • Sascha Gratzl
      +43 1 4277 61653
      PhD Student
      Karagöz Lab
      3.507
      Main Building
    • Iris Gruber
      +43 1 4277 74320
      Office Administration
      1.604
      VBC5
    • Niyati Kheskani Gupta
      +43 1 4277 52828
      PhD Student
      Martens Lab
      5.503
      Main Building
    • Sebastian Guzman Perez
      +43 1 4277 61821
      PhD Student
      Martinez Lab
      2.512
      Main Building
    • Attila György
      +43 1 4277 24060
      Technical Manager
      3.501
      Main Building
    • H
    • Clara Hackethal
      +43 1 4277 52808
      Master Student
      Campbell Lab
      5.512
      Main Building
    • Anna Halan
      +43 1 4277 52875
      Science Support
      5.325
      Main Building
    • Erinc Hallacli
      +43 1 4277 61720
      Group Leader
      Hallacli Lab
      2.120
      Main Building
    • Iana Hammerschmid
      PhD Student
      Querques Lab
      1.000
      VBC5
    • Almedina Hamza
      +43 1 4277 74649
      Master Student
      Ellis Lab
      3.121
      Main Building
    • Joel Hancock
      +43 1 4277 74390
      PhD Student
      Menche Lab
      1803
      Althanstr.
    • Robert Happel
      +43 1 4277 74322
      IT Specialist
      1.812.1
    • Andreas Hartig
      +43 1 4277 52817
      Lecturer
      5.110
      Main Building
    • Markus Hartl
      +43 1 4277 52846
      Facility Head
      E72
      VBC 6
    • Natascha Hartl
      +43 1 4277 52846
      Technician
      E72
      VBC 6
    • Felix Hartmann
      +43 1 4277 42862
      PhD Student
      Matos Lab
      5.125
      Main Building
    • Lisa Haselbach
      +43 1 4277 61801
      Office Administration
      2.115
      Main Building
    • Felix Haslhofer
      +43 1 4277 74647
      PhD Student
      Bücker Lab
      3.510
      Main Building
    • Marco Hein
      +43 1 4277 61710
      Group Leader
      Hein Lab
      2.116
      Main Building
    • Adrian Henggeler
      +43 1 4277 56231
      PostDoc
      Matos Lab
      5.122
      Main Building
    • Joachim Hermisson
      +43 1 4277 74351
      Group Leader
      Hermisson Lab
      1.722.1
      VBC5
    • Monika Hofer
      +43-1-4277-52206
      Technician
      1.604
      VBC5
    • Juergen Hoffmann
      +43 664 8176382
      Head of IT
      1.620
      VBC5
    • David Hollenstein
      +43 1 4277 52846
      Facility Specialist
      E72
      VBC 6
    • Elisabeth Holzer
      +43 1 4277 52828
      PhD Student
      Martens Lab
      5.502
      Main Building
    • Johanna Höpflinger
      +43 1 4277 24013
      Communications Manager
      3.117
      Main Building
    • Harald Hornegger
      +43 1 4277 61653
      PhD Student
      Karagöz Lab
      3.507
      Main Building
    • Filip Horvat
      +43 1 4277 52811
      PostDoc
      Slade Lab
      5.610
      Main Building
    • Marie Huber
      +43 1 4277 74647
      Lab Manager
      Bücker Lab
      3.510
      Main Building
    • Theresa Hügel
      +43 1 4277 74640
      Scientific Affairs Manager
      6.110
      Main Building
    • Pim Huis
      +43 1 4277 74830
      Group Leader
      Huis Lab
      5.515
      Main Building
    • Sabine Huisman
      +43 1 4277 24001
      Office Administration
      6.108
      Main Building
    • Elisa Husting
      +43 1 4277 54631
      Master Student
      Moll Lab
      4.122
      Main Building
    • Michelle Huth
      +43 1 4277 74645
      PhD Student
      Leeb Lab
      3.123
      Main Building
    • Christiane Hütter
      +43 1 4277 74390
      PhD Student
      Menche Lab
      1.722.1
    • I
    • Bushra Ijaz
      +43 1 4277 52810
      PostDoc
      Bachmair Lab
      5.108
      Main Building
    • Natale-Erwin Ivessa
      +43 1 4277 61805
      Lecturer
      2.118
      Main Building
    • Luis Ixquiac
      +43 1 4277 52213
      Master Student
      Juffmann Lab
      1.211
      VBC5
    • J
    • Hanieh Jafarian
      +43 1 4277 72524
      PhD Student
      Juffmann Lab
      1.722
      VBC5
    • Julia Jankowska
      +43 1 4277 74822
      PhD Student
      Ameres Lab
      2.125
      Main Building
    • Verena Jantsch-Plunger
      +43 1 4277 56250
      Group Leader
      Jantsch Lab
      5.118
      Main Building
    • Leila Jensen
      +43 1 4277 54632
      PhD Student
      Moll Lab
      4.129
      Main Building
    • Mattias Jonasson
      +43 1 4277 74647
      PhD Student
      Bücker Lab
      3.510
      Main Building
    • Tania Jorda Sanchez
      +43 1 4277 61628
      PostDoc
      Köhler Lab
      3.527
      Main Building
    • Isha Joshi
      +43 1 4277 56240
      PhD Student
      Schlögelhofer Lab
      5.524
      Main Building
    • Jovanovic Jovana
      +43 1 4277 00000
      PhD Student
      Ameres Lab
    • Thomas Juffmann
      +43 1 4277 72520
      Group Leader
      Juffmann Lab
      1.610
      VBC5
    • K
    • Petra-Franziska Kalman
      +43 1 4277 61831
      Lab Manager
      Martinez Lab
      2.515
      Main Building
    • Thomas Kapral
      +43 1 4277 52272
      PhD Student
      Zagrovic Lab
      1.114
      VBC5
    • Arda Kara
      +43 1 4277 61626
      Technician
      Karagöz Lab
      3.507
      Main Building
    • Elif Karagöz
      +43 1 4277 61635
      Group Leader
      Karagöz Lab
      3.609
      Main Building
    • Nataliia Kashko
      +43 1 4277 56231
      PhD Student
      Matos Lab
      5.122
      Main Building
    • Ruben Kastner
      +43 1 4277 56241
      Trainee
      Schlögelhofer Lab
      5.524
      Main Building
    • Berkun Kathleen
      +43 1 4277 61822
      PhD Student
      Hallacli Lab
      2.504
      Main Building
    • Helga Kaufmann
      +43 1 4277 52801
      Science Support
      5.210
      Main Building
    • Paulina Kettel
      +43 1 4277 61653
      PhD Student
      Karagöz Lab
      3.507
      Main Building
    • Nina Khaldieh
      +43 1 4277 52801
      PhD Student
      Ameres Lab
      2.122
      Main Building
    • Ameya Rakesh Khandekar
      +43 1 4277 74649
      PhD Student
      Ellis Lab
      3.121
      Main Building
    • Uladzislava Khauratovich
      +43 1 4277 56231
      PhD Student
      Matos Lab
      5.122
      Main Building
    • Sami Khawam
      +43 1 4277 74320
      PostDoc
      Juffmann Lab
      1.610
      VBC5
    • Himani Khurana
      +43 1 4277 52828
      Fellowship
      Martens Lab
      5.401
      Main Building
    • Endre Kiss
      +43 1 4277 61782
      Facility Specialist
      2.530
      Main Building
    • Nina Klauss
      +43 1 4277 61668
      Lab Manager
      Otsuka Lab
      3.505
      Main Building
    • Franz Klein
      +43 1 4277 56220
      Group Leader
      Klein Lab
      5.114
      Main Building
    • Ava Kleinwächter
      +43 1 4277 52807
      PhD Student
      Slade Lab
      5.508
      Main Building
    • Judith Kniest
      +43 1 4277 56240
      PhD Student
      Schlögelhofer Lab
      5.623
      Main Building
    • Sonja Knödlstorfer
      +43 1 4277 52260
      PhD Student
      Konrat Lab
      0122
      VBC5
    • George Kobakhidze
      +43 1 4277 61626
      PhD Student
      Dong Lab
      3.127
      Main Building
    • Barbara Anne Köhle
      +43 1 4277 56261
      PhD Student
      Jantsch Lab
      5.522
      Main Building
    • Alwin Köhler
      +43 1 4277 61685
      Scientific Director
      Köhler Lab
      3.520
      Main Building
    • Manuela Sophie Koller
      +43 1 4277 52808
      PhD Student
      Campbell Lab
      5.512
      Main Building
    • Robert Konrat
      +43 1 4277 52202
      Group Leader
      Konrat Lab
      1.602
      VBC5
    • Georg Kontaxis
      +43 1 4277 52218
      Staff Scientist
      Konrat Lab
      1.608
      VBC5
    • Pavel Kovarik
      +43 1 4277 54608
      Group Leader
      Kovarik Lab
      4.615
      Main Building
    • Heinrich Kowalski
      +43 1 4277 61612
      Lecturer
      3.516
      Main Building
    • Marek Kravec
      +43 1 4277 52828
      PostDoc
      Martens Lab
      5.503
      Main Building
    • Eva Krotenheerdt
      +43 1 4277 52241
      PhD Student
      Leonard Lab
      1.222
      VBC5
    • Julius Kühn
      +43 1 4277 61710
      Master Student
      Hein Lab
      2.110
      Althanstr.
    • Shankar Kundapura
      +43 1 4277 52258
      PostDoc
      Djinovic Lab
      0.612
      VBC5
    • Eva Kutejova
      +43 1 4277 52258
      PostDoc
      Djinovic Lab
      0612
      VBC5
    • Patricia-Emanuela Kutin
      +43 1 4277 74320
      Technician
      1.611
      VBC5
    • L
    • Karin Ledolter
      +43 1 4277 52260
      Lab Manager
      Konrat Lab
      0122
      VBC5
    • Martin Leeb
      +43 1 4277 74644
      Group Leader
      Leeb Lab
      3.123
      Main Building
    • Moritz Leitner
      +43 1 4277 61816
      PhD Student
      Martinez Lab
      2.512
      Main Building
    • Thomas Lenert
      +43 1 4277 61602
      Office Administration
      3.115
      Main Building
    • Thomas Leonard
      +43 1 4277 52205
      Group Leader
      Leonard Lab
      1.616
      VBC5
    • Siwen Liang
      +43-1-4277-52828
      PhD Student
      Martens Lab
      5.503
      Main Building
    • Chiang Wei Liao
      +43 1 4277 61761
      Trainee
      Weitzer Lab
      2.522
      Main Building
    • Raffael Lichtenberger
      +43 1 4277 61656
      Technical Manager
      1.608
      VBC5
    • Luca Lippert
      +43 1 4277 24001
      Technician
      Slade Lab
      5.610
      Main Building
    • Anne Loebker
      +43 1 4277 74645
      Master Student
      Leeb Lab
      3.123
      Main Building
    • Josef Loidl
      +43 1 4277 56210
      Scientist
      5.515
      Main Building
    • Salvo Danilo Lombardo
      +43 1 4277 74390
      PhD Student
      Menche Lab
      1803
      Althanstr.
    • Oliver Lueghammer
      +43 1 4277 74320
      PhD Student
      Juffmann Lab
      1.722
      VBC5
    • M
    • Maximillian Mager
      +43 1 4277 61656
      PhD Student
      Falk Lab
      1.624
      VBC5
    • Madhusmita Mahapatra
      +43 1 4277 61821
      Fellowship
      Martinez Lab
      2.512
      Main Building
    • Philipp Mairinger
      +431427752225
      Lab Technician
      Ries Lab
      0321
      VBC5
    • Daniel Malzl
      +43 1 4277 74390
      PhD Student
      Menche Lab
      1803
      Althanstr.
    • Toni Manolova
      +43 1 4277 61656
      PhD Student
      Falk Lab
      1.624
      VBC5
    • Zach Marin
      +43 1 4277 52225
      PostDoc
      Ries Lab
      0612
      VBC5
    • Sascha Martens
      +43 1 4277 52876
      Group Leader
      Martens Lab
      5.113
      Main Building
    • Javier Martinez
      +43 1 4277 61803
      Group Leader
      Martinez Lab
      2.113
      Main Building
    • Angela Martins
      +43 1 4277 54601
      Office Administration
      4.114
      Main Building
    • Panagiotis Martzios
      +43 1 4277 74831
      PhD Student
      Huis Lab
      5.515
      Main Building
    • Maxime Mathieu
      +43 1 4277 52225
      PostDoc
      Ries Lab
      0.612
      VBC5
    • Joao Matos
      +43 1 4277 74419
      Group Leader
      Matos Lab
      5.024
      Main Building
    • Ivana Matousova Visova
      +43 1 4277 72523
      PostDoc
      Juffmann Lab
      1.614
      VBC5
    • Hannah Kirsten Mayer
      +43 1 4277 54621
      PhD Student
      Dammermann Lab
      4.508
      Main Building
    • Vanessa Meier
      +43 1 4277 52241
      Fellowship
      Leonard Lab
      1.222
      VBC5
    • Jörg Menche
      +43 1 4277 74370
      Group Leader
      Menche Lab
      1804
      Althanstr.
    • Mathilde Meyenberg
      +43 1 4277 74370
      PostDoc
      Menche Lab
      1.722.1
    • Mario Migotti
      +43 1 4277 52263
      PhD Student
      Konrat Lab
      0.114
      VBC5
    • Milica Mihailovic
      +43 1 4277 61635
      PhD Student
      Karagöz Lab
      3.502
      Main Building
    • Milica Milasinovic
      +43 1 4277 61834
      Master Student
      Martinez Lab
      2.515
      Main Building
    • Frane Miljkovic
      +43 1 4277 61643
      PhD Student
      Köhler Lab
      3.524
      Main Building
    • Fran Miocic-Stosic
      +43 1 4277 52272
      PhD Student
      Zagrovic Lab
      1.114
      VBC5
    • Georg Mlynek
      +43 1 4277 52258
      Senior PostDoc
      Djinovic Lab
      0.114
      VBC5
    • Isabella Moll
      +43 1 4277 54606
      Group Leader
      Moll Lab
      4.121
      Main Building
    • Marius Moser
      +43 1 4277 61803
      Master Student
      Martinez Lab
      2.515
      Main Building
    • Neelam Mujaddidi
      +43 1 4277 74610
      Master Student
      Görke Lab
      4.110
      Main Building
    • Felix Müller
      +43 1 4277 74371
      Staff Scientist
      Menche Lab
      1104
      Althanstr.
    • Melitta Münster
      +43 1 4277 52275
      Lab Technician
      Zagrovic Lab
      1.114
      VBC5
    • N
    • Tsimafei Navalayeu
      +43 1 4277 74825
      PostDoc
      Ameres Lab
      2.125
      Main Building
    • Milena Nenadovic
      +43 1 4277 54632
      PhD Student
      Moll Lab
      4.122
      Main Building
    • Melissa Neumann
      +43 1 4277 24072
      Facility Specialist
      0.116
      Main Building
    • Julian Neutatz
      +43 1 4277 52821
      Technician
      5.116
      Main Building
    • Magdalini Nigritinou
      +43 1 4277 54614
      Lab Technician
      Versteeg Lab
      4.108
      Main Building
    • Yap Shing Nim
      +43 1 4277 61649
      PostDoc
      Köhler Lab
      3.527
      Main Building
    • Johannes Nimpf
      +43 1 4277 61808
      Scientist
      2.112
      Main Building
    • Katharina Nittnaus
      +43 1 4277 52808
      Lab Technician
      Campbell Lab
      5.512
      Main Building
    • Cristian Nogales
      +43 1 4277 74320
      PostDoc
      Menche Lab
      1104
      Althanstr.
    • Adrian Nogales Moral
      +43 1 4277 61643
      PhD Student
      Köhler Lab
      3.524
      Main Building
    • O
    • Michael Oberhuemer
      +43 1 4277 74645
      PhD Student
      Leeb Lab
      3.123
      Main Building
    • Patricia Odermatt
      +43 1 4277 61704
      Technician
      Ogris Lab
      2.127
      Main Building
    • Egon Ogris
      +43 1 4277 61730
      Group Leader
      Ogris Lab
      2.117
      Main Building
    • Anastasia Okun
      +43 1 4277 61653
      PhD Student
      Karagöz Lab
      3.507
      Main Building
    • Lucija Orlic
      +43 1 4277 56231
      PhD Student
      Matos Lab
      5.122
      Main Building
    • Shotaro Otsuka
      +43 1 4277 61665
      Group Leader
      Otsuka Lab
      3.506
      Main Building
    • Magdalena Otto
      +43 1 4277 52275
      PhD Student
      Leonard Lab
      1.321
      VBC5
    • Michel Owusu
      +43 1 4277 74372
      PostDoc
      Menche Lab
      1104
      Althanstr.
    • Ö
    • Olivia Özgüc
      +43 1 4277 52244
      PhD Student
      Querques Lab
      1.213
      VBC5
    • P
    • Claudia Pachinger
      +43 1 4277 54621
      PostDoc
      Dammermann Lab
      4.508
      Main Building
    • Michele Paganini
      +43 1 4277 74649
      Lab Technician
      Ellis Lab
      3.121
      Main Building
    • Nathan Palmer
      +43 1 4277 56231
      PostDoc
      Matos Lab
      5.122
      Main Building
    • Aswini Kumar Panda
      +43 1 4277 52275
      PhD Student
      Falk Lab
      1.321
      VBC5
    • Dimitra Paouneskou
      +43 1 4277 56261
      PostDoc
      Jantsch Lab
      5.522
      Main Building
    • Paulina Parafiniuk-Borzecki
      +43 1 4277 52801
      Office Administration
      5.115
      Main Building
    • Rajvi Patel
      +43 1 4277 56232
      PhD Student
      Matos Lab
      5.122
      Main Building
    • Anzhela Pavlova
      +43 1 4277 56231
      PhD Student
      Matos Lab
      5.122
      Main Building
    • Philipp Penninger
      +43 1 4277 61812
      PhD Student
      2.107
      Main Building
    • Vasiliki Petroulaki
      +43 1 4277 56232
      PhD Student
      Matos Lab
      5.122
      Main Building
    • Andriy Petryshyn
      +43 1 4277 61812
      Technician
      2.505
      Main Building
    • Maria Pfeffer
      +43 1 4277 24012
      HR Specialist
      6.109
      Main Building
    • Karin Pfeiffer
      +43 1 4277 52201
      Office Administration
      1.604
      VBC5
    • Trinh Phan-Canh
      +43 1 4277 61819
      PhD Student
      2.509
      Main Building
    • Lucas Piech
      +43 1 4277 52241
      PhD Student
      Leonard Lab
      1.222
      VBC5
    • Parvaneh Piran
      +43 1 4277 24004
      Controller
      6.109
      Main Building
    • Sebastian Pirch
      +43 1 4277 74390
      Technician
      Menche Lab
      1803
      Althanstr.
    • Mattia Pitasi
      +43 1 4277 61645
      PhD Student
      Leeb Lab
      3.123
      Main Building
    • Ioannis Pitsios
      +43 1 4277 52225
      PostDoc
      Ries Lab
      0612
      VBC5
    • Sebastian Platzer
      +43 1 4277 61809
      PhD Student
      Hein Lab
      2.110
      Main Building
    • Anton Polyansky
      +43 1 4277 52271
      Staff Scientist
      Zagrovic Lab
      1.612
      VBC5
    • Niko Popitsch
      +43 1 4277 24024
      Senior PostDoc
      Ameres Lab
      2.116
      Main Building
    • Elisabeth Prager
      +43 1 4277 54632
      PhD Student
      Moll Lab
      4.129
      Main Building
    • Viktoria Prast
      +43 1 4277 56221
      PostDoc
      Klein Lab
      5.528
      Main Building
    • Aleksandra Ptaszek
      +43 1 4277 52229
      PhD Student
      Konrat Lab
      0614
      VBC5
    • Lisa Pulferer
      +43 4277 00000
      Master Student
      Campbell Lab
      5.512
      Main Building
    • Q
    • Irma Querques
      +43 1 4277 74320
      Group Leader
      Querques Lab
      1.620
      VBC5
    • Cristina Quesada Candela
      +43 1 4277 56261
      PostDoc
      Jantsch Lab
      5.522
      Main Building
    • R
    • Gerald Raffl
      +43 1 4277 74822
      PhD Student
      Ameres Lab
      2.122
      Main Building
    • Shiviya Raina
      +43 1 4277 54621
      PhD Student
      Dammermann Lab
      4.508
      Main Building
    • Eva Rasch
      +43 1 4277 52820
      Technician
      5.116
      Main Building
    • Francesco Reina
      +43 1 4277 52225
      Lab Manager
      Ries Lab
      0612
      VBC5
    • John Reinhard
      +43 1 4277 61641
      PostDoc
      Köhler Lab
      3.522
      Main Building
    • Wolfang Ludwig Reiter
      +43 1 4277 52846
      Senior PostDoc
    • Kaike Ren
      +43 1 4277 61668
      PhD Student
      Otsuka Lab
      3.505
      Main Building
    • Armin Resch
      +43 1 4277 54631
      Lab Manager
      Moll Lab
      4.122
      Main Building
    • Jonas Ries
      +43 1 4277 74380
      Group Leader
      Ries Lab
      1.606
      VBC5
    • Norma Rivera
      +43 1 4277 61628
      Technician
      Köhler Lab
      3.527
      Main Building
    • Francisco Rodrigues Camoes de Magalhaes
      +43 1 4277 74647
      Master Student
      Bücker Lab
      3.51
      Main Building
    • Kostiantyn Romaniuk
      +43 1 4277 52244
      PhD Student
      Querques Lab
      1.213
      VBC5
    • Julia Romanov
      +43 1 4277 52805
      Lab Manager
      Martens Lab
      5.502
      Main Building
    • Johann Rotheneder
      +43 1 4277 61720
      Scientist
      2.112
      Main Building
    • Olga Rudi
      +43 1 4277 52810
      Technician
      Bachmair Lab
      5.108
      Main Building
    • Claudia Rudolf
      +43 1 4277 61761
      Technician
      Weitzer Lab
      2.522
      Main Building
    • Harald Rumpler
      +43 1 4277 61810
      Technician
      2.505
      Main Building
    • S
    • Carolina Saad
      +43 1 4277 52810
      PostDoc
      Bachmair Lab
      5.108
      Main Building
    • Enes Sakalli
      +43 1 4277 74320
      PhD Student
      5.519
      VBC5
    • Ulrich Salzer
      +43 1 4277 61777
      Lecturer
      2.523
      Main Building
    • Ana Maria Sandru
      +43 1 4277 54630
      PhD Student
      Baccarini Lab
      4.529
      Main Building
    • Ana Santiago
      +43 1 4277 54629
      Lab Technician
      Baccarini Lab
      4.525
      Main Building
    • Fatih Sarigol
      +43 1 4277 61671
      Technician
      Foisner Lab
      3.108
      Main Building
    • Thomas Sauer
      +43 1 4277 61782
      Facility Specialist
      2.530
      Main Building
    • Justyna Sawa-Makarska
      +43 1 4277 52805
      PostDoc
      Martens Lab
      5.502
      Main Building
    • Saha Sayantan
      +43 1 4277 74831
      PhD Student
      Huis Lab
      5.515
      Main Building
    • Katharina Schadl
      +43 1 4277 56200
      Office Administration
      5.115
      Main Building
    • Ulla Schellhaas
      +43 1 4277 52801
      Senior PostDoc
      Ameres Lab
      2.125
      Main Building
    • Natascha Scherzer
      +43 1 4277 24072
      Facility Specialist
      1.117
      Main Building
    • Clara Schimmer
      +43 1 4277 74649
      PhD Student
      Ellis Lab
      3.121
      Main Building
    • Lukas Schindler
      +43 1 4277 56241
      PhD Student
      Schlögelhofer Lab
      5.524
      Main Building
    • Peter Schlögelhofer
      +43 1 4277 56240
      Group Leader
      Schlögelhofer Lab
      5.623
      Main Building
    • Leonie Schmautz
      +43 1 4277 74649
      Lab Technician
      Ellis Lab
      3.121
      Main Building
    • Maximilian Schmid
      +43 1 4277 52838
      PhD Student
      Martens Lab
      5.401
      Main Building
    • Leon Schmidt
      +43 1 4277 61810
      Master Student
      Hein Lab
      2.110
      Main Building
    • Maren Schneider
      +43 1 4277 61643
      Staff Scientist
      Köhler Lab
      3.524
      Main Building
    • Ursula Schöberl
      +43 1 4277 74822
      Senior PostDoc
      Ameres Lab
      2.125
      Main Building
    • Melanie Schödl
      +43 1 4277 24072
      Facility Specialist
      1.117
      Main Building
    • Julia Scholz
      +43 1 4277 61668
      PhD Student
      Otsuka Lab
      3.505
      Main Building
    • Claudia Schreiner
      +43 1 4277 52233
      Lab Manager
      Djinovic Lab
      0.124
      VBC5
    • Stefan Schuechner
      +43 1 4277 61731
      Facility Head
      Ogris Lab
      2.127
      Main Building
    • Martina Schuschnig
      +43 1 4277 52838
      Technician
      Martens Lab
      5.401
      Main Building
    • Irene Schwartz
      +43 1 4277 54614
      PhD Student
      Versteeg Lab
      4.108
      Main Building
    • Viktor Schwartz
      +43 1 4277 61662
      Technician
      Dong Lab
      3.127
      Main Building
    • Thomas Schwarz
      +43 1 4277 52263
      Senior PostDoc
      Konrat Lab
      0.114
      VBC5
    • Alois Schweighofer
      +43 1 4277 76528
      Lecturer
      6.111a
      Main Building
    • Grzegorz Scibisz
      +43 1 4277 61653
      PhD Student
      Karagöz Lab
      3.507
      Main Building
    • Katharina Semrad
      +43 1 4277 54692
      Lecturer
      5.527
      Main Building
    • Olga Sereda
      +43 1 4277 74645
      Master Student
      Leeb Lab
      3.123
      Main Building
    • Nikolay Sergeev
      +43 1 4277 52225
      PhD Student
      Ries Lab
      0612
      VBC5
    • Annamaria Sgromo
      +43 1 4277 74822
      Senior PostDoc
      Ameres Lab
      2.122
      Main Building
    • Sanskriti Sharma
      +43 1 4277 74649
      PhD Student
      Ellis Lab
      3.121
      Main Building
    • Varun Sharma
      +43 1 4277 74371
      PhD Student
      Menche Lab
      1803
      Althanstr.
    • Kavya Shetty
      +43 1 4277 61809
      PhD Student
      Hein Lab
      2.110
      Main Building
    • Alexandra Shulkina
      +43 1 4277 54614
      PhD Student
      Versteeg Lab
      4.108
      Main Building
    • Raquel Silva
      +43 1 4277 61673
      PhD Student
      Foisner Lab
      3.108
      Main Building
    • Carla Simon
      +43 1 4277 52807
      PhD Student
      Slade Lab
    • Celine Sin
      +43 1 4277 74390
      PostDoc
      Menche Lab
      1803
      VBC5
    • Timothy Skern
      +43 1 4277 61620
      Lecturer
      3.118
      Main Building
    • Dea Slade
      +43 1 4277 52811
      Group Leader
      Slade Lab
      5.610
      Main Building
    • Melanie Slezak
      +43 1 4277 24072
      Facility Specialist
      1.117
      Main Building
    • Simona Smolkova
      +43 1 4277 74831
      Master Student
      Huis Lab
      5.515
      Main Building
    • Adrian Söderholm
      +43 1 4277 54614
      PhD Student
      Versteeg Lab
      4.108
      Main Building
    • Peter Sok
      +43 1 4277 52263
      PostDoc
      Djinovic Lab
      0.114
      VBC5
    • Elisabeth Sonnleitner
      +43 1 4277 54631
      Senior Lecturer
      Moll Lab
      4.122
      Main Building
    • Katarzyna Speichert
      +43 1 4277 54621
      PhD Student
      Dammermann Lab
      4.508
      Main Building
    • Alexander Stadler
      +43 1 4277 61704
      Technician
      Ogris Lab
      2.127
      Main Building
    • Rita Stadler
      +43 1 4277 56200
      Office Administration
      5.115
      Main Building
    • Edvinas Stankunas
      +43 1 4277 61628
      PhD Student
      Köhler Lab
      3.527
      Main Building
    • Doris Stojanovic
      +43 1 4277 61801
      Office Administration
      2.115
      Main Building
    • Katharina Stoppacher
      +43 1 4277 56201
      Office Administration
      5.115
      Main Building
    • Johanna Stranner
      +43 1 4277 52857
      Technician
      5.116
      Main Building
    • Valentina Stuchlik
      +43 1 4277 61822
      PhD Student
      Hallacli Lab
      2.504
      Main Building
    • Verena Stürz
      +43 1 4277 54693
      Master Student
      Ameres Lab
      2.119
      Main Building
    • Thomas Swartjes
      +43 1 4277 52244
      PostDoc
      Querques Lab
      1.213
      VBC5
    • T
    • Virag Tarcsa
      +43 1 4277 52808
      Master Student
      Campbell Lab
      5.512
      Main Building
    • Markus Teige
      +43 1 4277 52817
      Lecturer
      5.110
      Main Building
    • Magdalena Teufl
      +43 1 4277 74825
      Lab Manager
      Ameres Lab
      2.126
      Main Building
    • Stefanie Toifl
      +43 1 4277 54630
      PhD Student
      Baccarini Lab
      4.529
      Main Building
    • Fotima Touraeva
      +43 1 4277
      Science Support
      4.522
      Main Building
    • Irina Tsymala
      +43 1 4277 61811
      PhD Student
      2.107
      Main Building
    • Rustam Tuktarov
      +43 4277 00000
      Bachelor Student
      Campbell Lab
      5.512
      Main Building
    • Susanna Tulli
      +43 1 4277 52838
      PostDoc
      Martens Lab
      5.401
      Main Building
    • V
    • Steffi Varghese
      +43 1 4277 54614
      Lab Technician
      Versteeg Lab
      4.009
      Main Building
    • Jiri Veis
      +43 1 4277 52826
      PostDoc
      Ogris Lab
      2.130
      Main Building
    • Griselda Velez-Aguilera
      +43-1-4277-56261
      PostDoc
      Jantsch Lab
      5.522
      Main Building
    • Daniel Velikov
      +43 1 4277 56231
      PhD Student
      Matos Lab
      5.122
      Main Building
    • Gijs Versteeg
      +43 1 4277 54637
      Group Leader
      Versteeg Lab
      4.009
      Main Building
    • Magdalena Vesely
      +43 1 4277 56221
      Lab Technician
      5.528
      Main Building
    • Niklas Viohl
      +43 1 4277 61628
      PhD Student
      Köhler Lab
      3.527
      Main Building
    • Alexander Vogel
      +43 1 4277 74340
      PhD Student
      1.612
      IMP/IMBA
    • Isabella Völkl
      +43 1 4277 74647
      PhD Student
      Bücker Lab
      3.510
      Main Building
    • Arndt von Haeseler
      +43 1 4277 74307
      Group Leader
      1.107
      VBC5
    • Julius von Wirén
      +43 1 4277 54627
      PhD Student
      Kovarik Lab
      4.514
      Main Building
    • Denise Vorauer
      +43 1 4277 24072
      Facility Head
      1.117
      Main Building
    • Georg Vucak
      +43 1 4277 54629
      PhD Student
      Baccarini Lab
      4.525
      Main Building
    • W
    • Ash Waczek
      Trainee
      Schlögelhofer Lab
      5.524
      Main Building
    • Clara-Anna Wagner
      +43 1 4277 61668
      PhD Student
      Otsuka Lab
      3.505
      Main Building
    • Lena Walch
      +43 1 4277 00000
      Technician
      Slade Lab
      Main Building
    • Mateusz Walter
      +43 1 4277 52244
      PhD Student
      Querques Lab
      1.213
      VBC5
    • Nicholas Wedige
      +43 1 4277 24006
      Facility Specialist
      VBC5
    • Georg Weitzer
      +43 1 4277 61717
      Group Leader
      Weitzer Lab
      2.118
      Main Building
    • Stefan Weitzer
      +43 1 4277 61815
      PostDoc
      Martinez Lab
      2.512
      Main Building
    • Julia Westermayer
      +43 1 4277 52241
      Lab Manager
      Leonard Lab
      1.608
      VBC5
    • Rahel Wettstein
      +43 1 4277 56231
      Senior PostDoc
      Matos Lab
      5.122
      Main Building
    • Gerhard Wiche
      +43 1 4277 52852
      Lecturer
      5.028
      Main Building
    • Maria Wiche-Castanon
      +43 1 4277 52856
      Lecturer
      5.627
      Main Building
    • Katharina Wieland
      +43 1 4277 56221
      Lab Technician
      Klein Lab
      5.528
      Main Building
    • Helga Wieltschnig
      +43 1 4277 61701
      Office Administration
      2.115
      Main Building
    • Johannes Wieser
      +43 1 4277 24043
      IT Manager
      5.119
      Main Building
    • Martin Windberger
      +43 1 4277 61831
      Trainee
      Martinez Lab
      2.515
      Main Building
    • Nikola Winter
      +43 1 4277 24065
      Technical Manager
      3.501
      Main Building
    • Sabina Winter
      +43 1 4277 61601
      Office Administration
      3.115
      Main Building
    • Angela Witte
      +43 1 4277 54643
      Group Leader
      4.128
      Main Building
    • Felix Wolkenstein
      +43 1 4277 52241
      PhD Student
      Leonard Lab
      1.222
      VBC5
    • Bernhard Wurzinger
      +43 1 4277 52810
      PostDoc
      Bachmair Lab
      5.108
      Main Building
    • X
    • Martin Xaver
      +43 1 4277 56231
      PostDoc
      Matos Lab
      5.122
      Main Building
    • Y
    • Ivan Yudushkin
      +43 1 4277 74340
      Head of Teaching (SPL)
      1.612
      Main Building
    • Z
    • Bojan Zagrovic
      +43 1 4277 52271
      Group Leader
      Zagrovic Lab
      1.601
      VBC5
    • Martino Zanetti
      +43 1 4277 52242
      PhD Student
      Juffmann Lab
      1.211
      VBC5
    • Christina Zeiler
      +43 1 4277 54626
      PhD Student
      Kovarik Lab
      4.516
      Main Building
    • Petar Zujovic
      +43 1 4277 24042
      IT Specialist
      5.119
      Main Building
    • Ilia Zykov
      +43 1 4277 72524
      PhD Student
      Juffmann Lab
      1.722
      VBC5